
오늘은 사랑니 발치 비용 그리고 실비 보험과 관련된 내용 정리해 드릴게요. 사랑니 발치 후 실비 보험 해당되시면 꼭 받으시길 바랍니다.
사랑니 발치 관련 연재글 작성중입니다. 참고하시면 도움이 되실겁니다.^^
1. 사랑니 발치 꼭 해야 하나요?
이 글은 마케팅 업체에서 대신 써주는, 혹은 AI를 이용해서 양산한 글이 아닙니다. 치과의사가 진정성 있…
2. 사랑니 발치 비용, 실비보험 적용 여부
3. 사랑니 발치 후 궁금한 점들
사랑니 발치 후 관리 A TO Z (식사, 통증, 술, 흡연, 양치 등)
이 글은 마케팅 업체에서 대신 써주는, 혹은 AI를 이용해서 양산한 글이 아닙니다. 치과의사가 진정성 있…
사랑니 발치 비용, 어느 정도일까?
사랑니 발치 비용은 나라에서 급여항목으로 정해두었어요. 하지만 여러 가지 상황에 따라 금액이 다양하게 나올 수 있습니다. 대표적으로 세 가지, 아래에 정리해 봤어요.
1. 사랑니 발치 난이도에 다라 비용이 다릅니다.
사랑니 발치 난이도는 먼저 잇몸에 덮혀 있느냐 덮혀 있지 않느냐로 나뉘고요
각각의 경우 또 다시 난이도가 다시 나뉩니다.


1)사랑니가 잇몸에 덮혀있지 않는 경우
사랑니 주변 잇몸뼈 삭제 여부에 따라 나뉘어요.
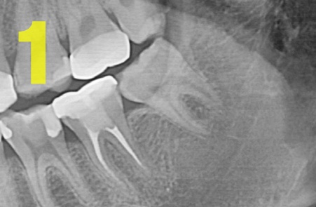
①단순 발치 : 잇몸에 덮혀 있지 않고 쉽게 발치가 가능한 사랑니(사진의 노란색 화살표시)
②난발치 : 잇몸에 덮혀 있지 않으나 쉽게 발치가 되지 않는 사랑니
-> 잇몸뼈와 유착이 되어있거나, 사랑니 뿌리가 굵거나 휘어있어서사랑니 주변의 뼈를 삭제해야 발치할 수 있는 발치 난이도가 있는 사랑니인 경우 입니다.
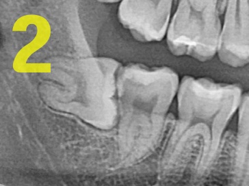
2)사랑니가 잇몸에 덮혀있는 경우(매복 사랑니)
사랑니가 치조골 속에 얼마큼 매복되어 있는지에 따라서 아래와 같이 세 가지로 분류됩니다.
① 단순 매복 : 치조골(잇몸뼈) 속에 많이 묻혀 있지 않은 상태 (사진1)
② 복잡 매복 : 치조골에 2/3 이하로 묻혀있을때 (사진2)
③ 완전 매복 : 치조골에 2/3 이상 묻혀있을때 (사진3)
1에서 3으로 갈수록 난이도가 올라가고 발치 비용도 비싸져요.



*요약하면 다음과 같습니다.
| 분류 | 잇몸 절개 | 뼈 삭제 | 치아 분리 | 주요 발치 방법 |
| 단순 발치 | 불필요 | 없음 | 불필요 | 기구 이용 발치 |
| 난발치 | 때때로 필요 | 부분적 | 필요 | 분할 발치 |
| 단순매복 | 필요 | 없음 | 불필요 | 잇몸 절개 후 발치 |
| 복잡매복 | 필요 | 필요 | 필요 | 외과적 발치 |
| 완전매복 | 광범위 절개 | 상당 부분 | 필요 | 외과 수술 발치 |
2. CT 촬영 여부

사랑니와 하치조 신경관이 겹쳐있을 경우 CT를 찍어봐야 하는데, 이때 비용이 발생합니다. 사랑니 발치 시 치아 뿌리가 하치조 신경관을 누르면 감각이상 증상이 발생할 수 있거든요.
사랑니 발치시 ct를 반드시 찍어봐야하는 경우는 아래 글 참고하세요^^
사랑니 발치 시 CT 촬영이 반드시 필요한 경우(면목역 바른플란트 치과)
이 블로그는 업체가 대행해서 글을 써주는 블로그가 아니고 원장이 직접 글을 쓰는 블로그입니다 안녕하세…
3. 진료기관, 진료시간이나 요일 등의 차이
내원하려는 치과의 규모가 의원급인지, 병원급인지, 대학병원인지에 따라서 금액 차이가 날 수 있습니다. 또한 같은 규모의 병원이라고 해도 평일인지, 주말인지에 따라서 달라질 수 있으며, 야간진료 시간에는 가산금이 붙습니다.
*사랑니 발치 비용 정리하면 다음과 같아요.

1)치과규모(병원급일 경우 더 비쌈)
2)평일/휴일, 야간진료시간 여부
3)엑스레이를 몇 장 찍었는지(사랑니 주변부만 나오는 작은 엑스레이)
등 여러가지 상황에 따라 치과마다 조금씩 가격 차이 있을 수 있어요.
이거 보고 해당 치과가셔서 왜이렇게 금액이 다르냐고 화내시면 안됩니다! ^^;
사랑니 발치, 실비보험 청구 가능할까?
결론부터 말씀드리면,
2009년 10월 1일 이후 가입한 실비보험(2~4세대)이라면, 치료 목적의 사랑니 발치에 한 해 실비보험 청구가 가능합니다.
| 실비보험 세대 | 가입 시기 | 사랑니 실비 청구 가능 여부 |
| 1세대 | 2009년 9월 30일 이전 | 원칙적으로 불가 (치과 특약 포함 시 예외) |
| 2~4세대 | 2009년 10월 1일 이후 | 가능 (급여 항목 치료만 해당) |
단, 미용 목적, 예방적 발치, 비급여 치료는 보장되지 않으며
건강보험이 적용된 치료 목적의 ‘급여 항목’만 청구 대상입니다.
실비보험 청구 시 필요한 서류는?
보험사마다 요구 서류는 조금씩 다를 수 있으나, 일반적으로는 다음과 같습니다
- 진료비 영수증
- 진료비 세부내역서
- 질병코드가 포함된 처방전
- 보험금 청구서
- 진단서 (보험사 요청 시)
질병코드는 실비 청구 시 가장 중요한 항목입니다.
사랑니 관련 주요 질병코드 예시는 다음과 같습니다
- K01.1: 매복치 (사랑니 대표 코드)
- K04.7: 치근단 병소 (치아 뿌리 끝 염증)
- K05.2: 급성 치주염 (잇몸 염증)
이처럼 병명과 치료 목적이 분명히 기재되어 있어야, 보험사에서도 보장을 승인합니다.
공제금액과 실제 지급액은?
실비보험은 병원급에 따라 일정 금액을 공제하고 나머지를 보장합니다:

사랑니 발치 비용 자체가 비교적 저렴하기 때문에, 실제 청구 후 수령하는 금액은 소액일 수 있습니다.
예시) 치과 의원에서 사랑니를 뽑고 실비보험 청구를 한 경우
총 진료비 2만 원 → 1만 원 공제 → 1만 원 실비 수령
단, 동반된 치료나 검사(CT 등)가 있는 경우 전체 진료비가 커지므로, 실비 수령액도 증가할 수 있습니다.
마무리하며
사랑니 발치는 대부분 건강보험이 적용되기 때문에
실비보험 청구가 가능한 항목에 속합니다.
다만, 보험 적용 여부는 아래 세 가지를 꼭 확인하셔야 합니다
- 실비보험 가입 시기 (2009년 10월 이후인지)
- 치료 목적의 급여 항목인지 여부
- 진단서/처방전 상 질병코드 기재 여부
보험 약관과 실제 보장 범위는 보험사마다 다르므로, 반드시 본인 보험사에 문의하거나 약관을 확인하시는 것을 권장 드립니다.

