
”충치 있다고 들었습니다. 아직 안 아프니까 치료를 미루면 어떨까요?
이 말, 치과에서 자주 듣습니다.
하지만, 충치는 ‘자기 스스로 낫는 병’이 아니라, 시간이 지날수록 점점 더 깊어지고 넓어지는 병입니다.
작은 충치라면 간단한 치료로 끝낼 수 있지만, 치료를 미루게 되면…
치료 범위가 커지고, 통증이 생기고, 비용도 훨씬 많이 들게 되며, 결국엔 이를 빼야 할 수도 있습니다.
충치치료 안 하면 어떻게 되는지 오늘 글에서 예시 보여드릴게요.
충치치료 안 하면 이렇게 됩니다.
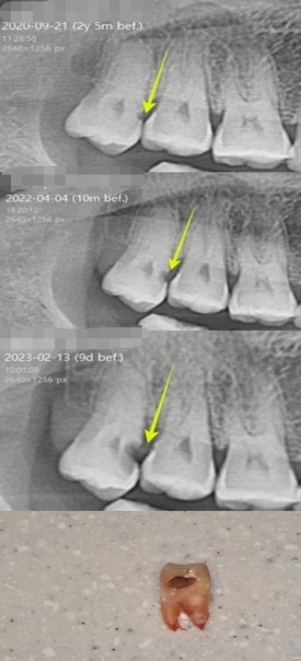
1. 사랑니에 생긴 충치 제때 발치하지 않아서 결국 엄청난 통증으로 치과에 내원하여 발치했던 케이스


사랑니 쪽에 충치가 생겨있으니 나중에 아파지기 전에 빨리 빼는 게 좋아요. 라고 말씀드렸던 두 분입니다.
”지금 별로 안 아프기 때문에 안 뺄래요”라고 하셨다가 수년 뒤, 너무 아파서 잠도 못 잤다고 하면서 치과에 내원하셔서 발치를 했습니다.
사랑니 발치 꼭 해야하나요? –> https://brplant.co.kr/2880/
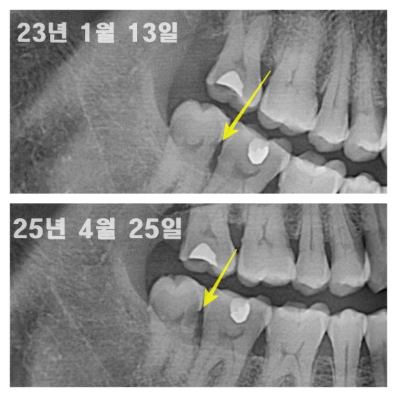
2. 충치치료 시기 놓쳐서 단순 때우는 치료로 가능했던 충치를 신경치료를 해야만 했던 케이스

충치가 작을 때 얼른 치료했으면 간단한 때우기 치료로 치료가 가능했을 텐데, 치료를 미루시다가 결국 통증으로 내원하셨고
때우기가 아닌 신경치료 후 씌우기로 치료를 하셨습니다.
치아 비용은 두 배, 자연치아 삭제량(치아 손실량) 세배, 치료시간 및 기간은 네 배가 소요되었어요.
신경치료에 대해서는 아래 글들에 담아두었으니 확인하시면 도움되실거에요.
신경치료란? –> https://brplant.co.kr/2837/
신경치료 피하는 방법? –> https://brplant.co.kr/2942/
3. 충치치료 안 하시다가 결국 발치를 해야 했던 케이스


충치가 그나마 덜 진행되었을 때는 신경치료 후 크라운 치료를 통해 해결할 수 있었는데 치료를 미루다가 결국 충치가 더욱 광범위해진 상태로 오셔서 발치를 하게 되었던 케이스입니다.
결론 – 충치는 절대 기다려주지 않습니다
충치는 아프기 전까지 조용히 진행됩니다.
아프기 시작했을 땐, 치료가 많이 복잡해졌을 가능성이 높습니다.
꼭 정기적인 검진을 통해 조기에 발견하고 충치가 생겼다면, 증상이 없더라도 치료받는 것이 최선입니다.
오늘도 충치치료를 미루고 계신 분이 있다면, ‘지금은 안 아프니까 괜찮겠지’ 라는 생각을 잠시 멈추고 치아 상태를 꼭 한번 체크해 보시길 바랍니다.
작은 충치일수록 치료도 간단하고, 치아를 더 오래 보존할 수 있습니다.
다만!! 과잉진료를 하지 않고 진단을 꼼꼼하게 잘 해주는 치과를 잘 찾아보는 노력은 해보시길 추천드립니다.
