오늘은 치아미백에 대해서 얘기하려고 합니다.
첫인상에서 앞니가 주는 인상은 생각보다 훨씬 중요합니다.
아무리 이목구비가 잘 생겼더라도 치열이 고르지 않거나, 치아가 유독 노랗게 보인다면, 깔끔하지 않은 인상이 남을 수 있습니다.
반대로 이목구비가 아주 뚜렷하지 않더라도, 치열이 가지런하고, 미소 지을 때 살짝 보이는 치아가 환하게 빛난다면, 자연스럽게 호감도는 올라가게 마련입니다.
치열을 개선하기 위해서는 치아교정을 하고, 치아를 밝게 하기 위해서는 치아 미백을 하는데요.
치아 미백에 대해서 자세히 알려드리겠습니다.
오늘의 글 목차입니다.
1. 치아미백 어떤 경우에 할까요?
2. 치아미백 두 가지 방법의 장단점과 활용방법
3. 전문가 치아미백 치료 사례 과정을 중심으로
4. 치아미백 관련 궁금한 점들 FAQ

치아미백, 어떤 경우에 필요할까요?
우리가 매일 마시는 커피, 차, 와인뿐만 아니라, 시간이 흐르면서 생기는 자연스러운 노화까지 — 아무리 관리를 열심히 해도 치아 색은 서서히 변하게 마련입니다.
어느 날 거울을 보다 문득,
“예전보다 치아가 좀 누렇게 보이는 것 같아…”
“미소 지을 때 치아색 때문에 자신감이 떨어지는 것 같아…”
이런 생각이 든다면, 치아미백을 고려해 볼 시기일지도 모릅니다.
특히 결혼식, 면접, 졸업사진 촬영 등 중요한 이벤트를 앞두고 있거나, 단순히 일상 속에서 더 밝고 자신감 있는 모습을 갖고 싶을 때, 치아미백은 생각보다 간단하고 효과적인 방법이 될 수 있습니다.
치아미백 방법: 전문가 치아미백 vs 자가 치아미백
치아미백 방법은 크게 전문가 치아미백과 자가 치아미백 두 가지로 나눌 수 있습니다.
1) 전문가 치아미백 (오피스 블리칭)
-사용 미백제: 25~40% 고농도 과산화수소(hydrogen peroxide) 사용
-효과 속도: 1~2회 방문으로 즉각적인 효과
-안전성: 치과의사의 감독하에 의료진이 직접 시술 → 안전하고 정밀한 관리 가능
-적합한 경우: 빠른 효과를 원하거나 변색이 심한 경우
-비용: 자가 미백보다 높은 편
2) 자가 치아미백 (홈 블리칭)
-사용 미백제: 3~15% 저농도 과산화 요소(carbamide peroxide) 사용
-효과 속도: 1~2주 사용해야 점진적인 효과
-편리성: 집에서 편하게 사용
-종류:
-맞춤형 트레이 (치과 제작)
-기성품 트레이 (약국, 온라인 구매)
-적합한 경우: 서서히 자연스러운 미백을 원하는 경우, 경제적인 방법 선호 시
-비용:전문가 미백보다는 낮음.
비용적인 측면에서 보면 자가 치아미백이 더 유리할 수 있지만 사실, 비용 대비 효과를 생각해 보면 오히려 전문가 치아미백이 훨씬 낫습니다. 자가 치아미백은 효과가 미미한 반면, 전문가 치아미백은 그래도 눈에 띄는 효과가 있기 때문이죠.
그래서 보통 자가 치아미백은 다음과 같은 두 가지 상황에서 활용하는 것을 추천드립니다.
전문가 치아미백을 메인으로 진행하고,
1) 그 뒤에 환해진 톤을 최대한 유지하기 위해서
2) 전문가 치아미백으로 밝아졌던 치아색이 다소 어두워진 것 같은 상황에서 또다시 전문가 치아미백을 하기는 꺼려지는 경우
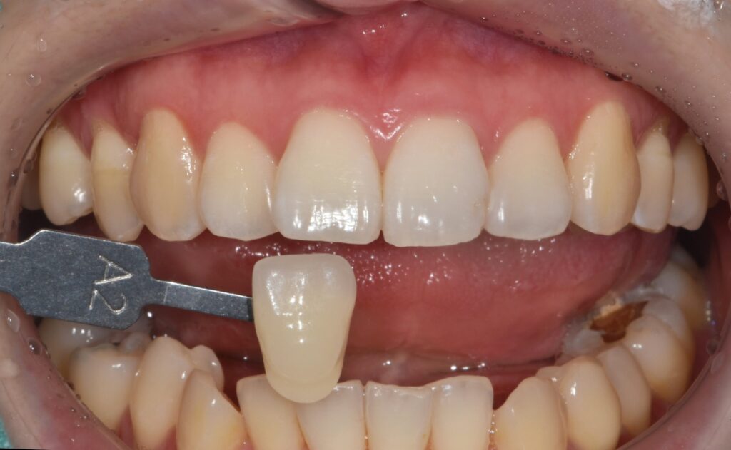
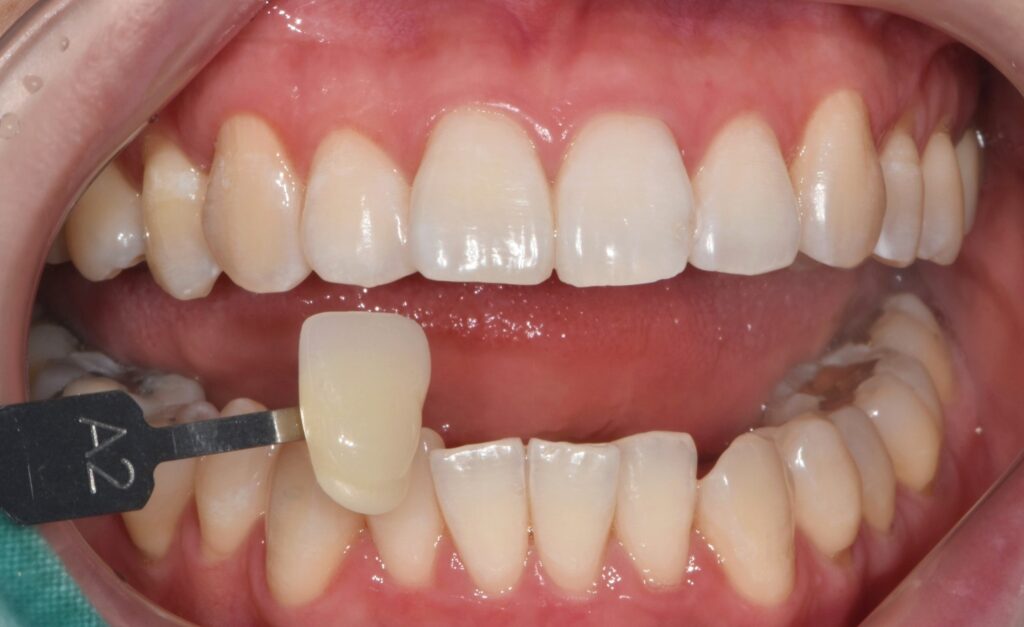
전문가 치아미백 순서
1.상담 및 검진: 치아 상태와 미백 가능성 확인, 현재 치아 밝기를 사진으로 남김.

2. 치면 세마: 치면을 깨끗하게 만들어줌.

3. 잇몸을 포함한 입안 연조직을 보호하기 위한 장치 및 잇몸 보호제 도포하기.

4. 미백제 도포: 고농도 미백제 바르기

5. 광원 활성화: LED/레이저 광원으로 미백제 활성화(15분)

6. 반복 시술: 같은 과정을 1 내지 2회 반복
7. 마무리: 시술 후 치아 밝기 사진 촬영

만약, 좀 더 드라마틱 하게, 마치 연예인의 치아처럼 하얀 치아를 갖길 원한다면 치아미백만 해서는 어렵습니다. 그렇게 되고 싶으시면 라미네이트 하셔야 해요
치아미백 FAQ: 자주 묻는 질문들
Q1. 치아미백 효과는 얼마나 지속되나요?
-평균 6개월~2년 정도 지속
-생활습관에 따라 달라짐 (커피, 홍차, 담배 등)
-효과를 오래 유지하는 방법:
착색 음료 빨대 사용
식사 후 즉시 양치
금연
정기 스케일링
미백 전용 치약 사용
Q2. 치아미백 시 통증이 있나요?
-경미한 시린 증상은 있을 수 있음 (보통 24~48시간 내 소실)
Q3. 치아미백의 부작용은 무엇인가요?
-치아 민감도 일시적 증가
-잇몸 자극 가능성 (잇몸 보호제를 잘 도포하고 진행하기에 가능성은 낮음)
Q4. 모든 사람이 치아미백을 할 수 있나요?
-임신/수유 중인 경우: 가급적 피해야 함
-심한 충치, 잇몸질환이 있는 경우: 잇몸치료 먼저, 그다음 미백치료, 그다음 충치치료
-세라믹, 레진 등 보철물은 미백 불가
Q5. 언제 재미백이 필요한가요?
-미백 후 1~2년 경과
-치아색이 다시 눈에 띄게 변한 경우
-중요한 이벤트(결혼, 촬영 등) 앞둔 경우
마무리하며
치아미백은 올바른 방법으로 진행하면 안전하고 효과적인 시술입니다.
자신의 치아 상태와 목표에 맞는 방법을 선택하는 것이 무엇보다 중요하며, 반드시 전문가와 상담 후 진행하시길 권장 드립니다.
하얀 치아로 더욱 자신감 있는 미소를 갖고 싶다면, 이번 글이 도움이 되었기를 바랍니다.
궁금한 점이 있다면 언제든 댓글로 남겨주세요.
읽어주셔서 감사합니다!
