오늘은 어금니와 앞니 다수 임플란트 치료로 삶의 질이 높아진 케이스를 함께 보면서
임플란트 치료에 대한 정보를 알기 쉽게 정리해 드리겠습니다.
치아가 아파요
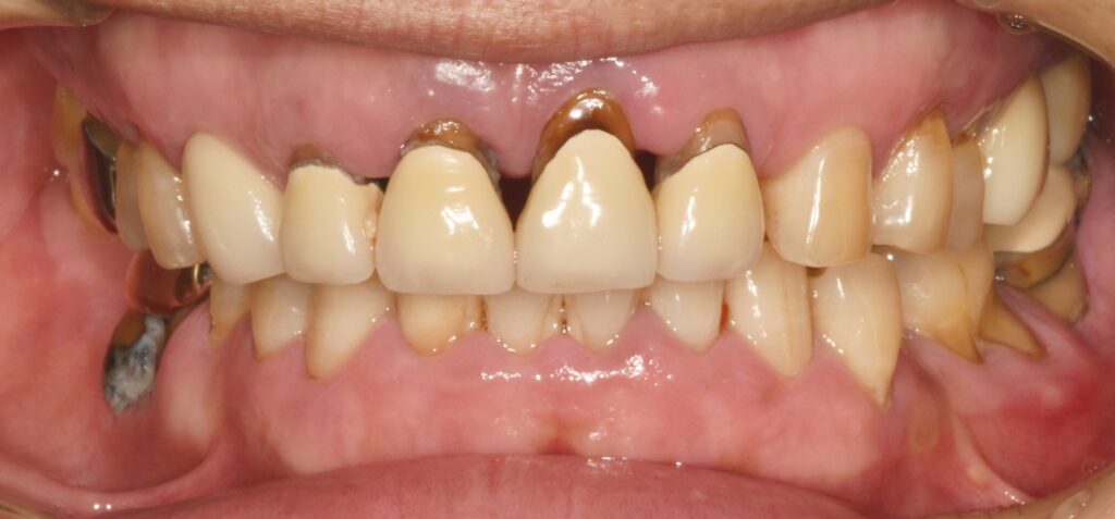
60대 남성분께서 치아 전체가 아프다며 치과에 내원하셨습니다.
상태는 아래와 같았어요.


어금니뿐 아니라 앞니 쪽에도 심한 치주 질환으로(잇몸질환) 치아가 많이 흔들리고 부어 있었습니다.
어금니는 아파서 씹지를 못하고 앞니는 흔들리기도 하지만 심미적으로도 안 좋아서 일상생활이 힘드신 상태였습니다.
이제 더 이상 방치하면 안 되겠다 생각해서 치과에 오셨다고 하네요.
충치치료 미루면 안되는 이유 –> https://brplant.co.kr/2976/
발치 그리고 임플란트
물론 자기 치아를 최대한 보존하여 오랫동안 쓰는 게 가장 바람직하며 저희 치과의사들도 그렇게 하는 것을 목표로 두고 하루하루 일하고 있습니다.
하지만 치아의 질환이 일정 수준을 넘어가면 그때는 발치가 불가피해집니다.
억지로 치료해서 살려 본다 한들 결국에는 또 얼마 못 가서 결국에는 발치하는 상황에 이르게 되는 경우가 상당히 많습니다.
따라서 자기 치아를 최대한 보존하려 하되, 문제가 이미 심각해진 치아는 뽑고 임플란트 보철을 해주는 것이 최선이라고 생각합니다.
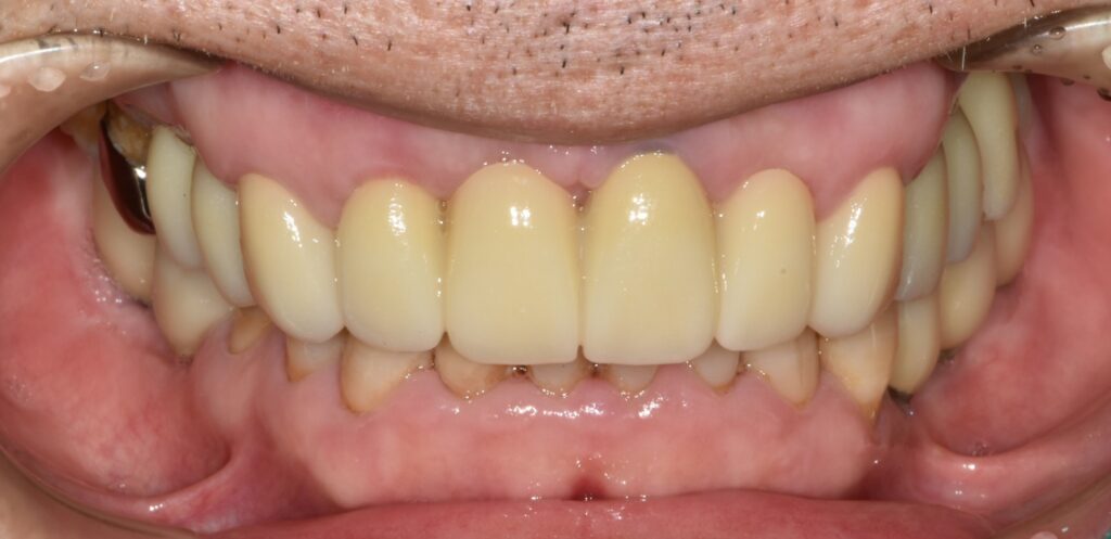
위 환자분은 다수의 어금니와 상악 전치부(위턱 앞니)를 모두 발치하고 임플란트를 식립하였습니다.

임플란트 심어진 것을 보시면 알겠지만 굉장히 보기가 좋게 심어졌죠? 보기 좋은 임플란트가 기능도 좋습니다.^^
저렇게 반듯하게 그리고 이상적인 간격으로 임플란트를 심어야 임플란트 완성 후 장기간 동안 건강하게 유지될 수 있습니다.
어금니에는 ‘상악동 거상술’을 통해서 뼈이식 임플란트를 완성했는데 ‘상악동 거상술’에 대해서는 아래 글을 참고해 주세요.
상악동 거상술 관련 글 –> https://brplant.co.kr/2784/
다행히 다른 부위는 뼈 상태가 좋아서 따로 뼈이식을 하지는 않았습니다.
*요새 저가 임플란트로 환자를 유인하고 불필요한 뼈이식 비용을 추가하여 결국 얼마 이상의 비용을 받고 임플란트 시술을 하는 치과들이 있습니다.
그런 곳은 피하는 게 좋다고 생각합니다.
임플란트 뼈이식이 꼭 필요한 경우를 아래 글에 정리했으니 참고 바랍니다.
임플란트 뼈이식이란? –> https://brplant.co.kr/2787/
임플란트 뼈이식이 꼭 필요한 세가지 경우 –> https://brplant.co.kr/2918/
치료 완료

위와 같이 치료가 완료되었습니다. 깔끔하게 치료가 되었네요. 처음 상태와 비교해 보면 그 변화를 확실하게 느낄 수가 있습니다.
치료 기간은 대략 4개월 정도 소요되었습니다.
임플란트 기간에 대한 궁금증 정리 –> https://brplant.co.kr/2932/
적절한 임플란트 치료를 통해서 씹는 즐거움도 되찾고 가지런한 치아로 자신감도 되찾으시길 바랍니다.
