앞니 벌어짐을 레진을 이용하여 심미적으로 해결했던 치료 사례를 통해 치과 치료에 대한 정보를 드릴게요.
앞니 벌어짐 어떻게 치료할까요?
앞니 벌어짐을 치료하는 방법은 교정, 보철(크라운, 라미네이트), 레진 치료 이렇게 네 가지가 있습니다.
자세한 내용은 아래 글에 잘 정리해두었으니 클릭해서 글을 보시길 바랍니다.
앞니벌어짐 치료 –> https://brplant.co.kr/2781/
블랙트라이앵글 치료 –> https://brplant.co.kr/3098/
벌어진 앞니 때우고 싶어요.
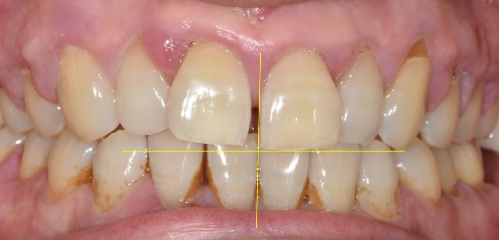
50대 남성이 치과에 방문하였습니다.
벌어진 앞니가 신경이 쓰였는데 교정 치료는 엄두가 안 나고 크라운 치료는 치아 삭제에 대한 부담감 때문에 꺼려져서 그냥 지내오셨다고 합니다.
그런데 저희 치과에 비치된 책자에서 치아삭제 안 하고 벌어진 앞니를 때우는 레진 치료 사례를 보고 본인도 그 치료를 받고 싶다고 하셨네요.

남성분의 입안 상태는 위와 같습니다.

사진을 보시면 대문니 오른쪽 대문니가(사진상으로는 왼쪽) 틀어져 있는 것을 볼 수가 있었습니다.
사실 레진을 이용하여 앞니를 수복하는 치료는 그리 어렵지 않습니다.
다만 치아의 축이 위처럼 틀어져 있는 경우는 다소 어려울 수 있습니다.
레진으로 어떻게 심미적으로 잘 치료할지 계획을 하고 치료를 진행했습니다.
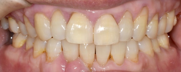
만족스러운 결과

위와 같이 치료가 완료되었습니다. 제가 처음에 계획했던 것보다 훨씬 심미적으로 치료가 잘 되어 기분이 좋았네요.

위아래 앞니의 치아의 축이 잘 맞게 되었습니다. 교정을 하지 않았는데 마치 교정을 한 것처럼 되었네요.
앞니 벌어짐도 해결하고 치열도 고르게 하는 일석이조의 치료였습니다.

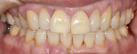
비교 사진 보시면 더욱 직관적으로 전후 차이를 느끼실 겁니다.
앞니 벌어짐을 해소하려 왔다가 가지런한 앞니까지 얻게 되신 케이스였네요.^^
또한, 단지 심미적으로만 치료된 게 아니라 잇몸 건강 측면에서도 매우 치료가 잘 되었습니다.


오른쪽 사진의 노란색 화살표를 보시면 레진과 치아 사이에 턱진 곳이 없으며 부드럽게 이행되는 모습을 볼 수 있습니다.
앞니의 중요성
앞니의 중요성에 대해서 정말 많이 강조 드린 것 같습니다.
사람을 마주할 때 가장 잘 보이는 중 하나가 치아의 배열입니다.
특히 치열이 많이 틀어져있거나 혹은 치아 사이가 많이 벌어져 있는 경우 가지런하지 못한 인상을 줄 수 있습니다.
가능하다면 치료를 통해 앞니를 심미적으로 개선해 주어 사회생활에서 큰 이점을 얻으시길 바라며이만 글 줄이겠습니다.
