다이아스테마

다이아스테마, 치간이개 치아 삭제 없이 레진으로 해결한 케이스

오늘은 다이아스테마(치간이개 – 치아 사이 벌어짐) 때문에 웃음이 어색하게 느껴지는 분들을 위해, 치아 삭제 없이도 자연스러운 미소를 되찾을 수 있는 방법에 대해 이야기해 보려 합니다.

많은 분들이 고민하지만 어떤 치료 방법이 본인에게 적합한지 모르는 경우가 많아, 직접 진료한 케이스를 바탕으로 정보를 공유하고자 합니다.

치간이개란 무엇인가?

치간이개(다이아스테마 = Diastema)는 치아와 치아 사이에 간격이 있는 상태를 말합니다.

특히 앞니 사이가 벌어진 경우가 가장 눈에 띄며, 미소 짓거나 대화할 때 자신감을 떨어뜨리는 원인이 되곤 합니다.

​​

치간이개 해결 방법은?

대부분 사람들은 치간이개를 해결할 수 있는 방법을 몰라서 속으로 콤플렉스처럼 숨기고 지내는 것 같습니다.

그러다가 우연히 치료 방법이 있다는 것을 깨닫고 치과의 문의를 하시는 분들이 적잖이 있습니다.

​치간이개 치료 방법에는 대표적으로 네 가지 방법이 있습니다. 해당되는 글을 제가 자세히 적은 기록이 있으니 참고해 주시길 바랍니다.^^

​앞니 벌어짐 치료방법 네가지 –> https://brplant.co.kr/2781/

​위 글에서 언급한 바와 같이(궁금하신 분들은 클릭해서 보세요^^)

1)치아 삭제가 없고

2) 수정이 용이하며(피부미용 시술에서는 리터치라고 하죠?)

3)당일 치료가 마무리되고

4) 비용이 상대적으로 저렴함

​위와 같은 탁월한 장점으로 인해 저는 치간이개를 레진으로 해결하는 것을 선호하고, 굉장히 많이 하고 있습니다.

최근 진료한 치간이개 케이스

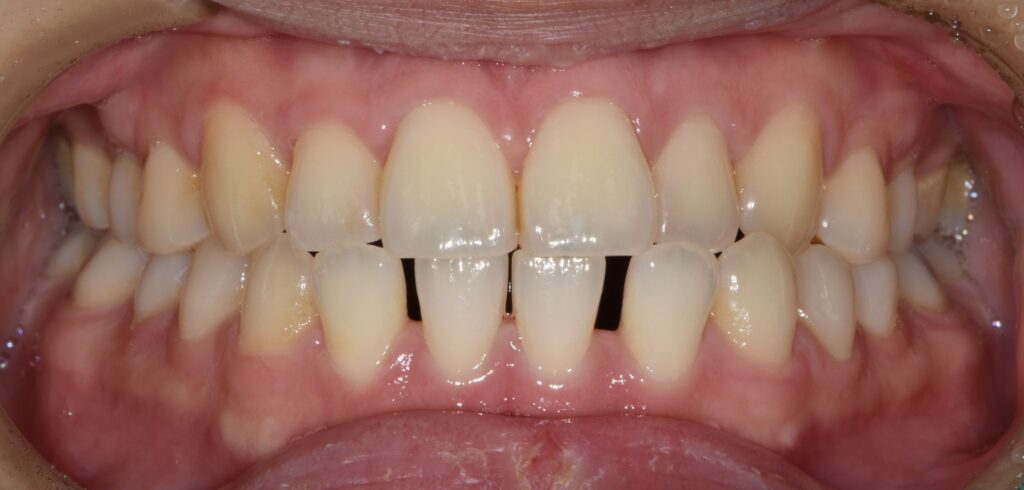
얼마 전 20대 여성 환자분이 내원하셨습니다. 하악 전치부(아래 앞니) 사이가 벌어져 있어 웃을 때마다 신경이 쓰인다고 호소하셨습니다. 다른 치과에서는 크라운 치료를 권유받았다고 합니다.

​문제는 크라운 치료를 위해서는 건강한 치아를 삭제해야 한다는 점이었습니다. 환자분은 자연 치아를 최대한 보존하길 원하셨고, 인터넷 검색을 통해 레진 수복이라는 방법을 알게 되어 상담을 요청하셨습니다.

​진단 결과, 하악 중절치 간(31-41), 좌측 중절치와 측절치(31-32), 우측 중절치와 측절치(41-42) 사이에 치간이개가 관찰되었습니다. 다행히 치주 상태는 양호했고, 치아도 건강한 상태였습니다.

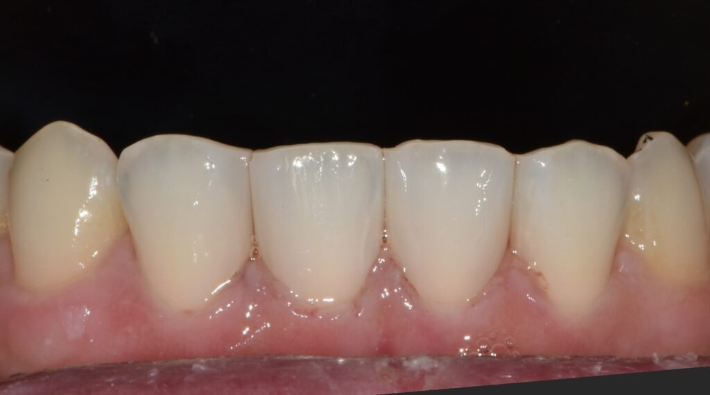
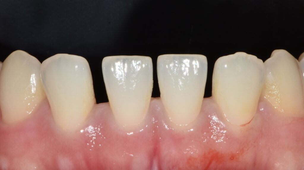
​레진으로 해결하기에 전혀 어렵지 않은 케이스였기 때문에 상담을 하고 바로 치료에 들어갔습니다.

마무리 다듬기 과정까지 꼼꼼하게 진행했고 소요시간은 대략 50분 정도 걸렸습니다.(다이아스테마 한 공간당 15-20분 정도, 환자분 세 개 공간 진행했기에 총 한 시간 걸림)

제가 보기엔 치료가 잘 된 것 같은데, 여러분이 보시기엔 어떤가요?^^

정성스럽게 치료했기에 결과도 더욱 잘 나온 것 같습니다.​

제가 과거에 써놓은 글에서도 언급했지만, 치간이개를 레진으로 수복할 때는 단순히 심미적인 것만 고려하지 않습니다. 반드시 잇몸 건강까지도 고려해서, 추후에 관리가 잘 되는 형태로 만들어주는 것이 관건입니다. 이 부분을 제대로 고려하지 않은 채 치료한 결과 주변 잇몸이 안좋아진 케이스를 너무 많이 봤네요.

치간이개 모두 레진으로 가능할까?

꼭 그렇지만은 않습니다.

앞니가 너무 많이 벌어졌거나 치열이 고르지 않은 경우에 그냥 레진만으로 해결하려 한다면, 심미적으로 좋지 못한 결과를 가져올 가능성이 높습니다.

앞니 벌어짐의 정도, 치열, 치아 색조의 변경 욕구, 잇몸의 모양 등에 따라서 때로는 다른 치료법이 더욱 좋을 수 있습니다. 해당 부분에 대해서는 전문가와 꼭 충분한 상담을 통해 결정하시길 권장 드립니다.

​​※ 본 게시물에 사용된 모든 사진은 환자 본인의 동의를 얻어 촬영 및 게재되었습니다.

동일 환자에 대한 치료 전·후 사진이며, 동일한 진료 환경에서 촬영되었습니다.

치료 결과는 개인의 구강 상태, 전신 건강 상태, 생활 습관 등에 따라 달라질 수 있습니다.

모든 치료에는 출혈, 통증, 부종, 감염 등의 부작용이 발생할 수 있으므로 충분한 상담이 필요합니다.

치료시작 : 24년 12월 18일

치료완료 : 24년 12월 18일