중년 라미네이트, 중년들도 요새 앞니 심미치료를 많이들 원하십니다.
치아를 깎아내고 인공치아를 덮어 씌우는 크라운치료와 달리 라미네이트는 인공치아를 치아에 붙이는 방식입니다.
치아를 안 깎는 방법도 있고 필요에 따라서는 치아를 깎아야 하는 경우도 있습니다.
치아를 안 깎고 하는 라미네이트를 무삭제 라미네이트라고 하죠.
저희 바른플란트치과에서도 무삭제 라미네이트 치료를 하고 있습니다.
심미적인 앞니는 모두의 로망인 만큼 많은 환자분들의 욕구를 충족해 드리고 싶은 마음이 큰 닥터오입니다.^^
오늘도 60대 중년 여성분께서 저희 치과에서 라미네이트 시술을 받으시고 엄청 젊어져서 귀가하셨는데요.
그 사례 소개해 드리겠습니다.
앞니가 자꾸 깨져요.
방법 없을까요?

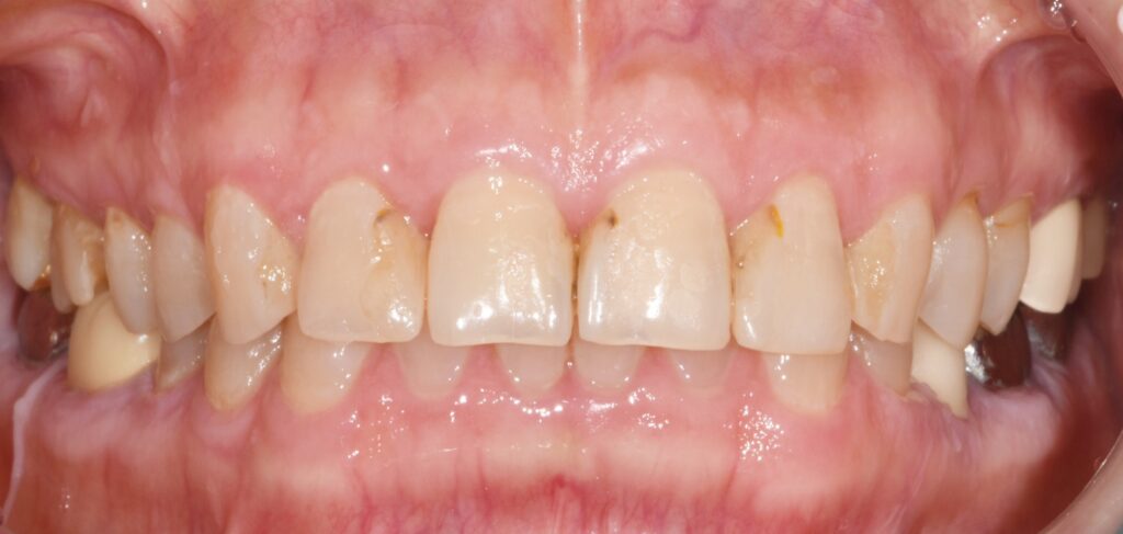
제일 처음 오셨던 날의 앞니 모습입니다.
기존에 레진으로 치료하셨던 치아들이 변색도 되고 이차 충치도 생기면서 지저분해 보이는 모습입니다.
깔끔하게 바꾸면 좋겠다는 생각이 듭니다…
하지만 크게 불편감이 없으셔서 그냥 지내시겠다고 하셔서 그렇게 귀가하셨습니다.

그런데 어느 날 치아가 자꾸 깨지는 것 같다며 해결 방법이 없냐며 치과를 재방문해 주셨습니다.
치아 깨짐도 방지하며 또, 기존 레진 치료로 인해 깔끔하지 못한 치아를 전반적으로 깔끔하게 만들면서 색조 또한 밝게 하여 심미적인 앞니를 만들어보자고 말씀드리며 무삭제 라미네이트를 추천드렸습니다.
그리고 철저한 준비과정을 거치고 2주 뒤에 환자분의 앞니는 아주 심미적으로 다시 태어났습니다.


어떤가요? 정말 깔끔하고 심미적이지 않나요?

이렇게 한 눈으로 비교할 수 있게 해놓으니 그 차이가 정말 크게 와닿습니다.
라미네이트는 정말 좋은 시술입니다. 적절하지 않은 케이스에 무리하게 시행했을 때 부작용이 나타날 뿐이지
적절한 케이스에 제대로 된 방식으로 시술하면 너무나 안정적이고 좋은 술식이라는 말입니다.
※ 본 게시물에 사용된 모든 사진은 환자 본인의 동의를 얻어 촬영 및 게재되었습니다.
동일 환자에 대한 치료 전·후 사진이며, 동일한 진료 환경에서 촬영되었습니다.
치료 결과는 개인의 구강 상태, 전신 건강 상태, 생활 습관 등에 따라 달라질 수 있습니다.
모든 치료에는 출혈, 통증, 부종, 감염 등의 부작용이 발생할 수 있으므로 충분한 상담이 필요합니다.
치료시작 : 235년 5월 10일
치료완료 : 23년 5월 17일
