망우바른플란트치과 ・ 2025. 4. 23. 22:40

오늘 사랑니 발치의 필요성에 대해 이야기를 시작으로 앞으로 사랑니 발치 관련된 유용한 정보를 드리도록 하겠습니다.
“사랑니가 나면 사랑에 빠진다.”
이런 귀여운 속설 덕분에 어릴 적엔 사랑니를 기다리던 시절도 있었지만, 막상 사랑니가 나기 시작하면 이야기는 전혀 다릅니다. 욱신거리는 통증, 부어오른 잇몸, 음식물이 끼어 염증까지… 사랑니는 그저 귀엽기만 한 치아는 아닙니다.
사랑니 발치 관련 연재글
1. 사랑니 발치 꼭 해야 하나요?
2. 사랑니 발치 비용, 실비보험 적용 여부
3. 사랑니 발치 후 궁금한 점들
사랑니, 언제 나는 걸까요?
사랑니는 제3대구치, 즉 맨 뒤에 나는 어금니입니다.
대부분 만 17세에서 25세 사이에 맹출 하기 시작하며, 이 시기 이후에도 늦게 나오는 경우도 있습니다.
문제는 이 시기쯤 되면 이미 치열이 다 갖춰진 상태라 사랑니가 나올 공간이 부족하다는 데에 있습니다.
공간이 부족한 사랑니는 제대로 올라오지 못하고 옆으로 누워 나거나, 잇몸 안에 묻혀버리는 매복 사랑니 형태로 자주 발견됩니다.
사랑니가 방치하는 생기는 문제점들
사랑니는 위치와 형태 때문에 관리가 매우 어렵고, 음식물이 끼기 쉬우며, 잇몸에 눌리거나 덮이는 경우도 많습니다. 이런 이유로 다음과 같은 문제가 자주 발생합니다



1) 잇몸 염증 (치관 주위염)
→ 사랑니를 덮고 있는 잇몸에 세균이 쌓이면서 붓고 통증 발생
사진 1번 보세요. 저기 노란색 화살표 부위 잘 닦으실 수 있나요? 매우 어렵습니다.
2) 잇몸이 씹히는 통증
→ 덮고 있는 잇몸이 반대쪽 사랑니에 씹혀 염증 반복
사진 2번 보시면 노란색 화살표가 가리키고 있는 부위는 사랑니를 덮고 있는 잇몸입니다.
잇몸이 씹혀서 빨갛게 부은 것 보이죠? 당연히 아프겠죠. 이런 경우는 치관 주위염과 씹히는 통증이 함께 있어서 더욱 아플 거예요.
3) 사랑니 및 인접 치아 충치
→ 닿기 힘든 부위에 음식물이 끼어 충치 발생, 심하면 앞어금니까지 손상
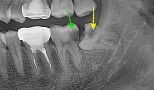
사진 1,2번과 같은 상태가 오랫동안 유지되면 사랑니(노란 화살표) 뿐 아니라 그 앞의 치아까지도(초록 화살표) 충치가 생깁니다.
4) 턱뼈(하악골) 낭종 및 골절 가능성
→ 사랑니 주위에 물혹 생기고, 턱뼈 약화 가능성도 존재
빈도가 높진 않지만, 그래도 만약 발생한다면 얼마나 아프고 두려울까요?
5) 구취 발생
→ 사랑니와 앞 치아 사이 위생관리가 안 되면 당연히 냄새가 나겠죠.
그렇다면 사랑니, 무조건 뽑아야 할까요?
아래 조건을 모두 만족한다면 뽑지 않고 지켜볼 수도 있습니다.
- 사랑니가 똑바로 나 있음
- 정상적으로 교합(음식 씹는 역할)을 하고 있음
- 청결 관리가 충분히 이루어짐
위 세 가지 조건을 충족하면 사랑니를 반드시 뽑아야 하는 것은 아닙니다.
그렇지만 위 조건을 모두 충족하는 경우는 생각보다 드뭅니다.
많은 분들은 나중에 통증이 생기고, 앞 치아까지 문제가 생겨서야 뒤늦게 오시는 경우가 대부분입니다.
마무리하며
사랑니는 나올 수 있는 공간이 부족한 채로 나기 때문에 문제를 일으킬 가능성이 높고,
작은 통증이 반복되거나 염증이 생기면 더 큰 치료가 필요할 수 있습니다.
치과의사로서 말씀드립니다.
사랑니가 불편하다면 방치하지 마시고, 정확한 위치와 상태를 먼저 파악하는 것이 우선입니다.
