요즘 ‘동안’에 대한 관심이 정말 많습니다.
실제로 피부과 시술이나 성형을 통해서 조금 더 젊어 보이기 위해 노력하시는 분들이 많죠.
하지만 한 가지 놓치기 쉬운 부분이 있습니다.
바로 치아입니다.
치아도 나이가 들까요?
많은 분들이 피부나 주름에는 민감하지만
치아는 크게 신경 쓰지 않는 경우가 많습니다.
하지만 임상에서 환자분들을 보다 보면
치아는 생각보다 훨씬 빠르게 “노화의 흔적”을 보여줍니다.
- 색이 점점 어두워짐
- 치아 길이가 짧아짐 (마모)
- 미세하게 깨지거나 닳은 앞니
- 치아 사이가 벌어짐
- 배열이 흐트러짐
이런 요소들이 복합적으로 작용하면서
실제 나이보다 더 나이 들어 보이는 인상을 만들게 됩니다.
왜 치아가 인상에 큰 영향을 줄까요?
사람의 인상에서 입 주변은 굉장히 큰 비중을 차지합니다.
특히 웃을 때 보이는 앞니는
단순히 ‘치아’가 아니라
→ 전체 얼굴 이미지를 좌우하는 핵심 요소입니다.
그래서 같은 얼굴이라도
- 치아가 깨끗하고 밝고 가지런하면 → 어려 보이고 생기 있는 인상
- 치아가 어둡고 마모되어 있으면 → 피곤하고 나이 들어 보이는 인상
이렇게 차이가 생기게 됩니다.
라미네이트 치료가 도움이 되는 경우
라미네이트는 치아의 겉면을 아주 얇게 다듬은 뒤
세라믹을 붙여서 형태와 색을 개선하는 치료입니다.
다음과 같은 경우에 특히 도움이 될 수 있습니다.
- 앞니 색이 많이 변한 경우
- 치아 끝이 닳아서 짧아 보이는 경우
- 치아 모양이 울퉁불퉁한 경우
- 치아 사이가 살짝 벌어진 경우
- 전체적으로 인상이 칙칙해 보이는 경우
이런 부분을 개선하면
얼굴 전체 인상이 훨씬 밝아 보이게 됩니다.
실제 치료 사례
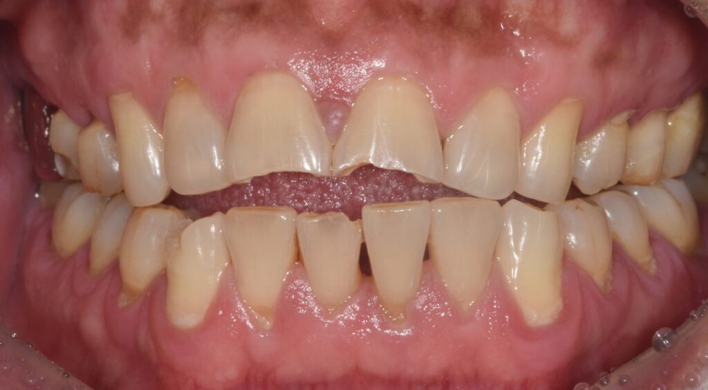
60대 남성분이 앞니가 보기 싫다며 치과에 내원하셨습니다.

내원 당시 상태를 보면 치아가 많이 닳아 있고, 일부는 깨져 있는 상태였습니다.
이러한 변화는 단순한 기능적인 문제를 넘어서 전체적인 인상에도 영향을 줄 수 있습니다.
피부가 아무리 좋아 보이더라도 앞니가 닳고 깨져 있는 경우에는 조금 더 나이 들어 보이는 느낌을 줄 수 있기 때문입니다.
라미네이트 치료를 추천드렸고 상담을 받으신 환자분도 이런 치료 방법이 있었냐면서 좋아하시면서 치료 진행을 희망하셨습니다.

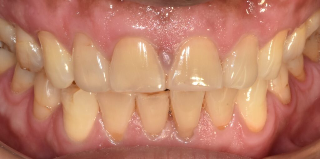
먼저 깨진 부위는 레진(치아 색 재료)을 이용하여 기본적인 형태를 회복해드렸습니다.
이 과정은 단순히 보기 좋게 만드는 것이 아니라 이후 라미네이트가 안정적으로 자리 잡을 수 있도록 기초를 만들어주는 단계입니다.

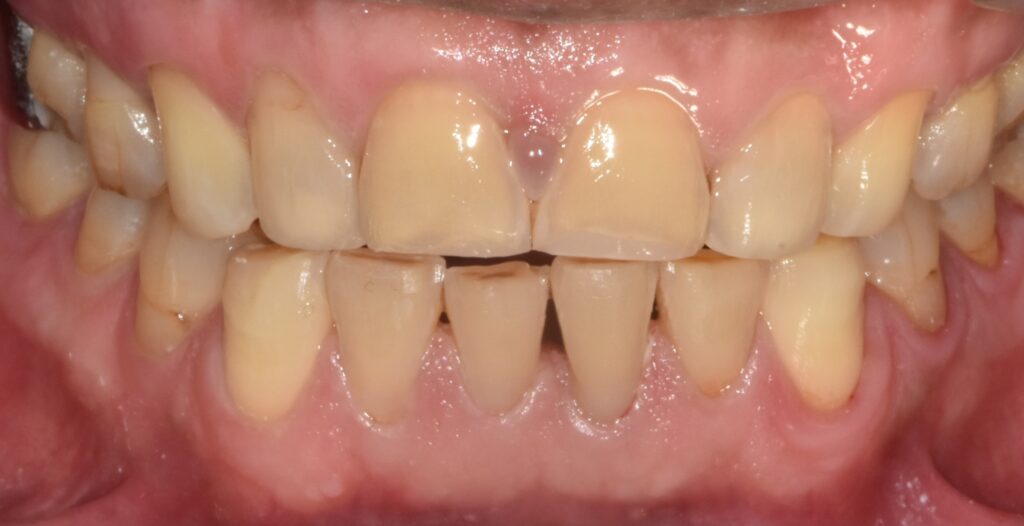
그 다음 단계에서는 라미네이트를 위한 치아 삭제를 진행했습니다.
이때 중요한 것은 얼마나 많이 삭제하느냐가 아니라 얼마나 필요한 만큼만 정확하게 삭제하느냐입니다.
저는 항상 자연치아 보존을 최우선으로 생각하기 때문에 필요한 최소한의 범위 내에서만 삭제를 진행하고 있습니다.
사진을 보시면 삭제가 이루어졌음에도 불구하고 큰 변화가 느껴지지 않을 정도로 보존적인 방식으로 진행된 것을 확인하실 수 있습니다.

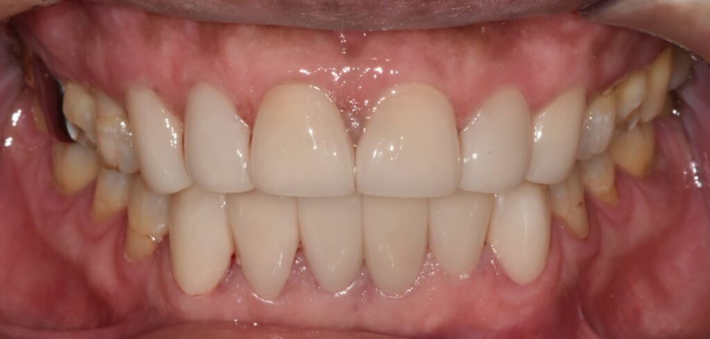
라미네이트를 접착한 이후의 모습입니다.
닳고 깨졌던 앞니가 정돈되면서 전체적으로 훨씬 깔끔한 인상을 보이고 있습니다. 또한 치아의 색감도 자연스럽게 밝아지면서 얼굴 전체에 생기가 더해진 느낌입니다.
환자분께서도 결과에 대해 만족감을 표현해주셨습니다.
모든 경우에 라미네이트가 필요한 것은 아닙니다
이 부분은 꼭 강조드리고 싶습니다.
라미네이트는 좋은 치료지만 모든 경우에 필요한 치료는 아닙니다.
경우에 따라서는
- 치아미백만으로 충분한 경우
- 레진 치료로 해결 가능한 경우
- 교정이 더 적합한 경우
도 있습니다.
그래서 저는 항상 “이 치료가 정말 필요한가?”를 먼저 고민합니다.
마무리
동안을 만드는 방법은 다양합니다. 하지만 치아는 생각보다 큰 영향을 주는 요소입니다.
조금만 정리되어도 전체 인상이 훨씬 밝고 젊어 보일 수 있습니다.
다만 중요한 것은
→ 과한 변화가 아니라
→ 자연스럽고 조화로운 변화입니다.
이 글이 치아 심미치료에 대해 고민하시는 분들께 조금이나마 도움이 되었으면 좋겠습니다.
감사합니다.
