오늘은 50대 남성분 임플란트를 통해 어금니 재건과 더불어 앞니 재치료한 케이스를 같이 보시면서
치과 치료에 대한 정보 전달드리겠습니다.
어금니의 기능 상실
50대 남성분께서 치아가 없어서 식사를 못하신다며 임플란트 치료를 위해 치과에 내원하셨습니다.

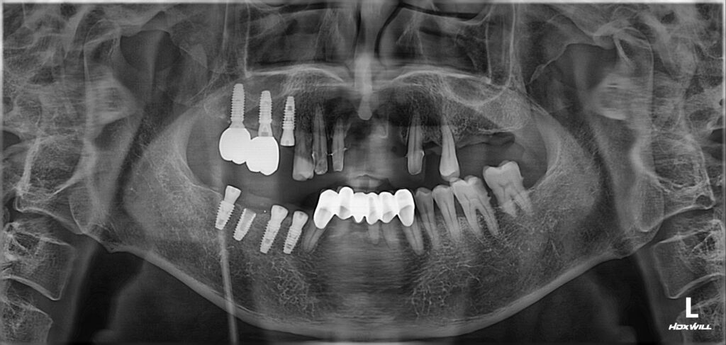
우측아래(사진상 왼쪽 아래)와 좌측 위(사진상 오른쪽 위) 치아가 없어서 어금니로 식사를 못하시는 상태였습니다.
뿌리만 남은 치아(빨간색 화살표)와 염증으로 흔들리는 앞니는(연두색 화살표) 발치를 해야 하는 상황입니다.
발치를 하고 임플란트를 해서 어금니로 식사를 할 수 있도록 그리고 앞니는 발음과 심미의 기능을 수행할 수 있도록 해줘야 할 것 같습니다.
어금니 치료가 먼저입니다.
항상 말씀드리지만 앞니와 어금니는 서로 보호하는 관계입니다. 어금니가 먼저 닿으면서 앞니를 보호하고 식사를 할 때 앞니가 아래턱을 잘 움직여서
어금니를 보호하는 그런 관계이죠.
따라서 어금니가 무너진다면 앞니는 필연적으로 문제가 생길 수밖에 없습니다.
그러므로 항상 앞니보다 어금니 치료를 먼저 해야 합니다.
관련 내용은 아래 글에 기록해 두었으니 확인해 보시길 바랍니다.
오늘은 앞니 흔들림의 주요 원인과 해결책을 정리해 드립니다. 앞니는 웃을 때도, 대화를 할 때도 가장 먼…
치료의 진행
어금니 치료와 동시에 앞니 치료를 권장 드렸으나 환자분께서는 우측 어금니를 먼저 완성하고 싶다고 하셨네요.
오른쪽 위아래 임플란트 식립한 뒤 임플란트와 뼈가 단단하게 붙는 기간인 2개월여 기간 동안 염증이 생긴 앞니는 발치한 뒤 브릿지로 된 임시치아를 사용하셨습니다.

아래 글은 임플란트 치료 기간에 대한 글입니다. 임플란트 치료 기간이 궁금하신 분들을 위해 잘 정리해두었으니 확인해 보세요.
임플란트 치료 기간 정리 –> https://brplant.co.kr/2932/
어금니와 앞니 동시에 완성하다.
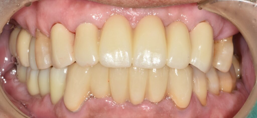
임플란트 수술 후 2개월이 지난 시점에서 임플란트와 뼈가 얼마나 잘 붙었는지 확인 후 본을 떠서 보철까지 진행이 되었습니다.


치료가 깔끔하게 잘 된 것 같습니다. 오른쪽 어금니도 얼른 치료해 드리고 싶은데 환자분 개인 사정으로 인해
한쪽만 치료한 것이 못내 마음에 걸렸습니다만 그래도 식사를 편하게 잘하시게 되어 보람찼던 치료 케이스였네요.
마무리
어금니는 음식을 씹는 역할을 하고 앞니는 심미와 발음 등의 역할에 기여합니다. 어금니와 앞니 모두 매우 중요하죠.
만약 둘 다 치료해야 하는 상황이라면 동시에 치료하거나 상황이 여의치 않으면 반드시 앞니보다는 어금니를 먼저 치료하시기를 권장 드립니다.
그게 치료한 치아가 오랫동안 문제없이 잘 유지되게 하는 비결입니다.^^
