안녕하세요?
오늘은 전체 치아가 다 안 좋은 상태로 치과에 내원하신 40대 남성분의 치료 과정을 보면서 임플란트를 통해 어금니 재건하기
앞니 크라운 등 많은 치과 치료에 대해 여러분들께 정보를 드리도록 하겠습니다.
가랑비에 옷 젖는 줄 모른다.
가랑비에 옷 젖는 줄 모른다는 유명한 속담이 있죠. 치과 질환이 그런 것 같습니다.
아프거나 시린 증상이 없거나 혹은 증상이 있어도 수일 내로 괜찮아지니까 치과를 찾지 않는 경우가 많습니다.
또 어떤 경우는 많이 아프진 않으니까, 너무 바빠서, 치료가 무서워서 등의 이유로 치과 치료를 미루는 경우가 너무 많아요.
여러분이 그러시는 동안 충치, 잇몸질환, 교합 문제 등 치과 질환은 지속적으로 문제가 커진다는 점 꼭 기억하시길 바랍니다.
충치치료 미루면 안되는 이유 –> https://brplant.co.kr/2976/
정확한 진단의 중요성 –> https://brplant.co.kr/2760/
치아 전체가 안 좋은데 치료가 가능할까요?
물론이죠. 당연히 치료는 가능합니다. 과학이 발전한 만큼 치의학계도 많이 발전했습니다.
이제는 치료가 불가능한 상황은 거의 없다고 봐도 과언이 아닙니다.
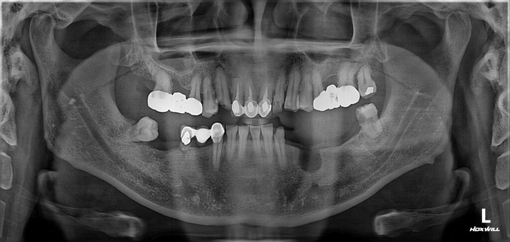
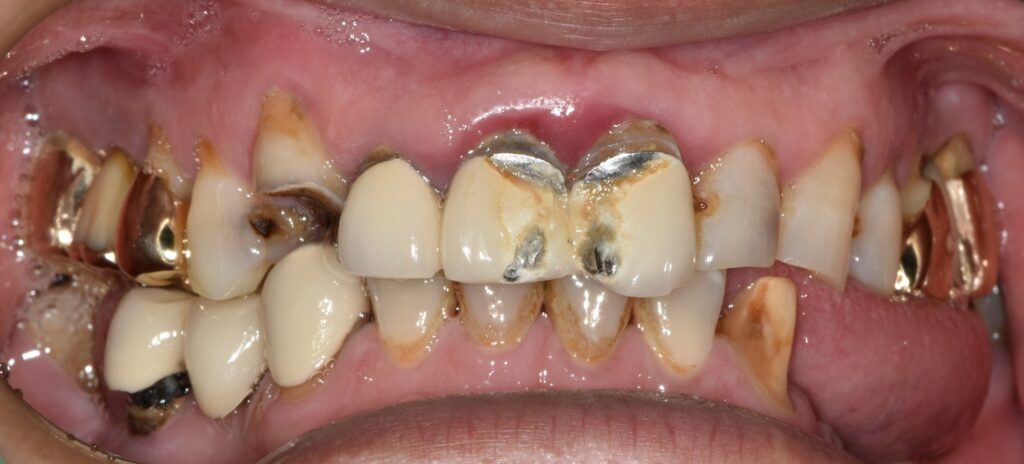
한 40대 남성이 치과에 찾아왔습니다. 치아 전체가 안 좋은데 참고 지내다가 도저히 안되겠기에 큰 맘먹고 치료받으러 오셨다고 하네요.


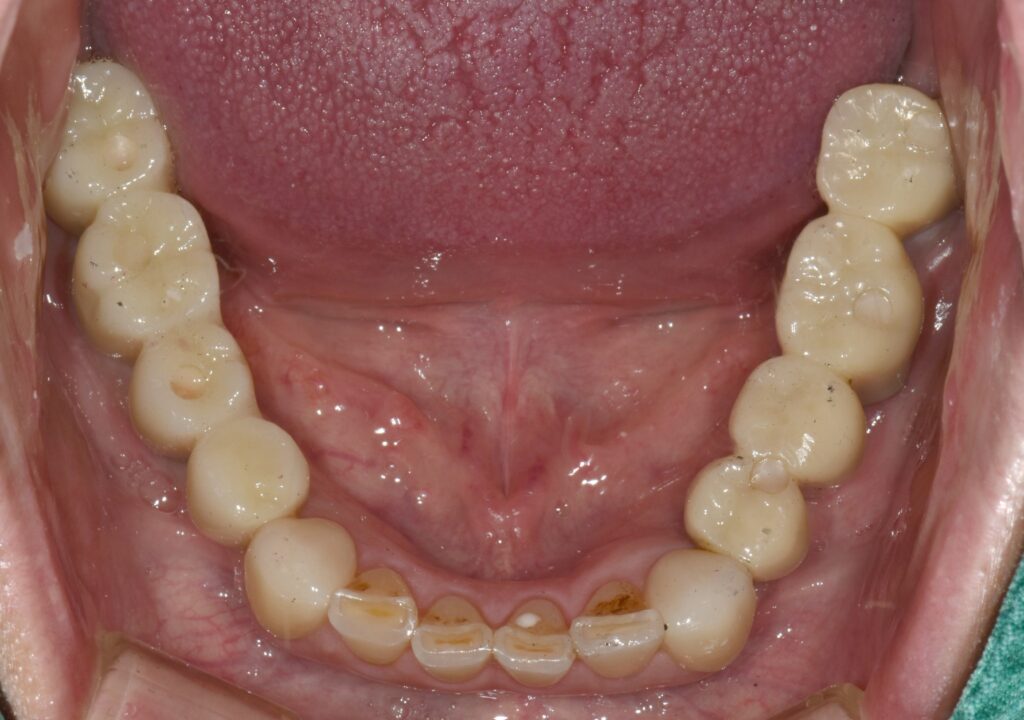
상태는 위와 같았습니다. 아래 앞니를 제외하고는 전부다 문제가 있는 상황이었습니다.
1. 치아 상실
2. 깊은 충치
3. 심한 잇몸 염증
4. 치아 부러짐 등
발생할 수 있는 모든 문제점들이 다 발생해 있었습니다.
1. 빼야 하는 치아들은 빼고 임플란트 식립을
2. 살릴 수 있는 치아들은 살려서 잇몸치료와 크라운 치료를
3. 앞니는 최대한 살려서 깔끔하게 보철을
해보자고 상담해 드렸습니다.
아래 글은 저희 치과에서 다수임플란트 치료했던
케이스를 모아서 보여드리는 글입니다.
치료 과정
이렇게 복합적으로 치료해야 하는 경우 가장 먼저 해야 할 일은 임플란트 식립입니다.
신경치료나 크라운 보철 치료의 경우 기간이 그리 오래 걸리지 않지만 임플란트의 경우 임플란트와 뼈가 붙는데 시간이 수개월 소요되기 때문이죠.
임플란트 치료기간 정리 –> https://brplant.co.kr/2932/

위와 같이 임플란트를 심고 뼈가 붙는 시간을 3개월 기다렸습니다.
상악동 거상술과 (연두색 점선) 뼈이식(하늘색 점선)을 동반하여 임플란트를 식립하였고
임플란트가 붙는 기간 동안에 어금니 신경치료까지 진행하였습니다.
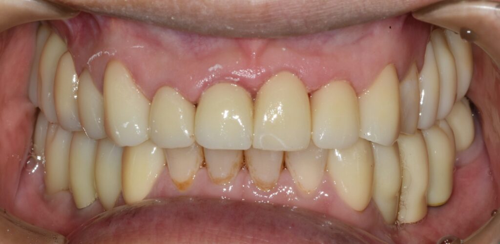
임플란트 식립 후 3개월 뒤에 임플란트와 뼈가 단단하게 붙은 것을 확인한 뒤 본을 떠서 임시치아를 만들었습니다.
1개월 동안 임시치아를 사용하면서 교합(치아가 물리는 관계)을 확인하고 모든 것이 편안해졌을 때 한 번 더 본을 떠서 최종 보철로 이행했습니다.
이렇게 임시치아 기간을 거쳐서 최종 보철을 완성하는 과정은 치료가 빨리 끝나길 바라는 환자분들도 힘드시겠지만 사실 저희 의료진도 힘들기는 마찬가지입니다.
하지만 임시 보철 기간은 반드시 가져야 합니다.
어금니가 없는 채로 3개월 이상 지내셨기에 턱관절이 새로운 치아에 적응하는 시간이 필요하며
또 지내시면서 음식물이 끼진 않는지 음식물이 잘 씹히는지 치아가 걸리지는 않는지 등 많은 부분에 대해서 미리 살펴보고 개선해야 할 점은 미리 개선하여
최종 보철물을 만드는 것이 가장 좋은 결과를 낼 수 있기 때문이죠.




위와 같이 치료가 완료되었습니다. 상당히 깔끔하게 잘 치료되었네요. 총 치료 기간은 4개월 소요되었습니다.
상악동거상술에 대한 글 –> https://brplant.co.kr/2784/
임플란트 뼈이식이란? –> https://brplant.co.kr/2787/
마무리하며
치과 치료 고민은 치료 난이도, 치료 기간, 치료 비용, 통증 등만 높일 뿐입니다.
열심히 치과 다니시고 관리 잘하시고 혹시 문제가 생기셨다면 바로바로 해결하시길 바랍니다.
물론 치료를 잘해줄 만한 좋은 치과를 잘 선택하는 것이 가장 먼저 해결해야 할 문제겠죠.
