전체 임플란트 식립 후 즉시 식사 가능케 해드렸던 사례

안녕하세요

오늘도 전체 임플란트 치료 사례 얘기해 드리려고 왔습니다.^^

​이제 단순 케이스는 숨 쉬는 것처럼 당연해서 얘기할 거리도 없네요.^^;

전체 임플란트 치료해야 할 것 같아요.

아래턱에 두 개의 치아만 남은 채 불편하게 틀니를 쓰고 계셨던 어르신께서 치과에 내원하셨습니다.

​오래 쓰시던 틀니가 너무 불편해서 이제 큰 맘먹고 임플란트 치료를 하시겠다는 결심을 하셨다네요.

​다행히 그리 어려운 케이스가 아니어서 상담하고 바로 수술에 들어갔습니다.

​아래글은 임플란트 치료기간에 대해 정리한 글이니 참고하시면 좋을듯 합니다.

임플란트 치료 기간 –> https://brplant.co.kr/2932/

수술 진행

아래턱에 먼저 여섯 개 임플란트를 심었고요.​

다음에 오셨을 때 위턱에 7개 임플란트를 심었습니다.

전체 임플란트를 진행할 때
위에는 최소 7개가
아래에는 최소 6개가 필요합니다

​원래 환자분의 뼈가 흰색 실선처럼 얇았던 상태라 임플란트를 튼튼하게 쓰려면 녹색 점선처럼 뼈를 만들어 줘야 했습니다.

상악동 거상술이라는 테크닉을 이용했습니다.

​아래글에서는 상악동 거상술을 정리해봤습니다.

 상악동 거상술이란? –> https://brplant.co.kr/2784/

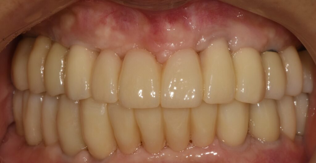
​사진 : 아래는 임플란트 보철이 즉시 들어갔고, 위에는 임시틀니를 이용해서 식사를 가능케 해드린 모습.

아래는 임플란트를 이용하여 즉시 임시 보철을 만들어 드렸고 (탈착 안 해도 되는 고정식 보철)

​위턱에는 전체 틀니를 만들어 드려서 바로 식사가 가능케 해드렸습니다.

​원래는 임플란트를 심고 초반에는 임플란트에 힘이 실리면 안 되기에 임플란트를 심고 두 달간은 임시틀니를 사용하셔야 합니다.

​하지만 경우에 따라 아래턱뼈의 경우, 식립한 여러 개의 임플란트를 이용하여 힘을 잘 분산 시키면 즉시 보철이 가능하기도 합니다.

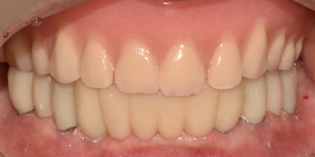
보철까지 잘 완성하다.

임플란트 보철까지 깔끔하게 잘 올라간 모습을 볼 수 있습니다.

​또한 상악동 거상술을 이용해 만든 뼈도 단단하게 자기 뼈가 되고 있는 모습을 볼 수 있습니다.

​치료 후 고기를 너무 잘 드셔서 금방 살이 찌고 건강한 모습을 보여주셔서 매우 반가웠던 기억이 나네요.

​전체 임플란트 혹은 그에 준하는 정도의 어금니 재건 치료는 치과의사들에게는 매우 힘들지만, 그만큼 큰 보람을 주는 치료인 것 같습니다.

​​​

마무리하며

불편한 틀니 이제 벗어던지세요

전체 임플란트 치료 이제 더 이상 고민하지 마세요

얼른 좋은 선택하셔서 맛있는 것 마음껏 드시고 건강한 삶을 사시길 적극적으로 추천드립니다.^^