오늘은 상악 무치악(위쪽 치아가 하나도 없는 상태) 환자분의
전체임플란트 치료 과정을 실제 사례를 통해 설명드리겠습니다.
상악에 치아가 하나도 없는 상태, 어떻게 치료할까?
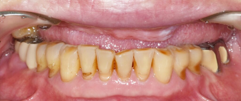
이번에 내원하신 환자분은 60대 남성분으로, 아래 치아는 모두 존재하지만 위쪽 치아는 하나도 없는 상태였습니다.


이런 경우에는 보통 다음과 같은 치료 방법을 고려합니다.
- 전체 틀니
- 임플란트를 이용한 고정성 보철
환자분과 충분한 상담을 진행한 결과, 보다 안정적인 저작 기능과 편안함을 위해 전체 임플란트 치료를 계획하게 되었습니다.
전체 임플란트 수술 완료

양쪽 상악동 거상술을 포함해서 수술을 완료했습니다.
보셔서 아시겠지만 아주 좋은 위치와 간격으로 임플란트가 식립된 것을 볼 수가 있습니다.
이렇게 원칙을 잘 지켜서 섬세하게 식립한 임플란트는 추후에 오랫동안 튼튼하게 제 기능을 할 가능성이 매우 높습니다.
상악동 거상술이란? –> https://brplant.co.kr/2784/
임플란트 수술 후, 바로 보철을 하지 않는 이유
임플란트는 심는 것도 중요하지만 뼈와 단단하게 붙는 과정(골유착)이 매우 중요합니다.
이 기간 동안은 보통 2~6개월 정도 기다리게 되는데, 그동안 아무것도 없이 지내기는 어렵기 때문에 임시 틀니를 사용하여 일상생활이 가능하도록 도와드립니다.
임플란트 치료 기간에 대한 글을 아래 글에 상세히 기록해 두었으니 궁금하신 분들은 읽어보시면 도움이 되실 것 같습니다.
발치후 임플란트 기간 –> https://brplant.co.kr/2932/
PMMA 임시보철로 적응 기간 갖는 이유

골유착이 완료된 후 임시치아를 써보는 기간
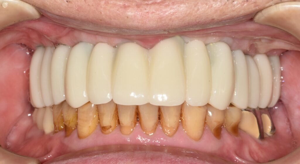
골유착이 완료된 이후에는 바로 최종 보철을 진행하지 않고, 👉 PMMA(임시 보철)를 일정 기간 사용하게 됩니다. 이 과정은 생각보다 매우 중요합니다.
왜냐하면,
- 턱관절 적응 확인
- 교합(물리는 상태) 체크
- 발음 및 저작 기능 확인
을 충분히 검증해야 하기 때문입니다. 이번 환자분도 약 한 달간 PMMA 보철을 사용하면서 불편감이 없는지 꼼꼼히 확인하였습니다.
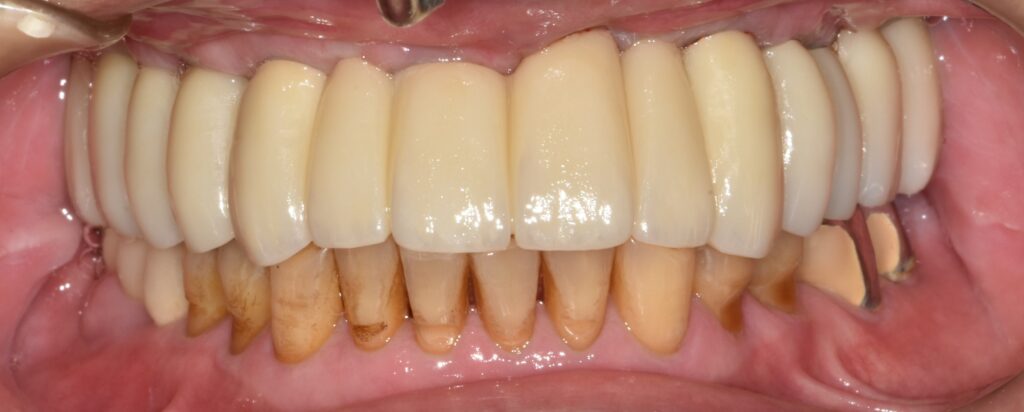
최종 보철 장착


충분한 적응 기간을 거친 후, 문제가 없음을 확인하고 최종 보철을 제작 및 장착하였습니다.
이 단계에서는 단순히 치아를 넣는 것이 아니라 기능과 안정성까지 고려한 정밀한 마무리 과정이 이루어집니다.
치료에서 중요한 것은 ‘과정’입니다
임플란트 치료는 단순히 “몇 개 심었는가”보다
- 정확한 진단
- 적절한 수술 계획
- 충분한 적응 과정
- 안정적인 보철 완성
이 모든 과정이 잘 이루어지는 것이 훨씬 중요합니다.
마무리
상악 무치악 환자분의 전체 임플란트 치료는 단계가 많고 시간이 걸리는 치료입니다. 하지만 그만큼 삶의 질을 크게 개선할 수 있는 치료이기도 합니다.
치료 방법은 개인의 상태에 따라 달라질 수 있기 때문에 충분한 상담과 정확한 진단을 통해 결정하는 것이 중요합니다.
※ 본 게시물에 사용된 모든 사진은 환자 본인의 동의를 얻어 촬영 및 게재되었습니다.
동일 환자에 대한 치료 전·후 사진이며, 동일한 진료 환경에서 촬영되었습니다.
치료 결과는 개인의 구강 상태, 전신 건강 상태, 생활 습관 등에 따라 달라질 수 있습니다.
모든 치료에는 출혈, 통증, 부종, 감염 등의 부작용이 발생할 수 있으므로 충분한 상담이 필요합니다.
치료시작 : 25년 2월 5일
치료완료 : 25년 8월 10일
