40대 남자분 어금니 재건 케이스

오늘은 40대 남자분 어금니 재건 케이스입니다.

​치아 건강에 관심이 있으시거나 임플란트 치료를 앞두고 있는 분들께 도움이 되는 내용들을 담아볼 테니 한번 천천히 읽어보시면 좋을 것 같아요^^

임플란트 치료하고 싶어서 왔어요.

40대 남성분이 위와 같은 상태로 치과에 내원하셨습니다.

​40대면 아직 아주 젊은 나이이신데, 비슷한 연배의 다른 분들에 비해서 치아 건강이 조금은 안 좋아진 상태였습니다.

​치아 상태가 안 좋은 것은 알았지만 그동안 일이 바빠서 치료를 미루고 미루다가 더 이상 미루면 안 될 것 같아서 치과에 큰맘 먹고 내원하셨다고 하네요.

문제점 파악

1. 어금니와 앞니 쪽 잇몸 염증이 심해서 치아가 많이 흔들리고 있었습니다. (노란색 화살 표시)

​해당치아들은 발치를 해야 할 만큼 상태가 많이 안 좋았네요.

​어금니가 먼저 무너지고 어금니가 지지를 해주지 못하니까 앞니 쪽에 많은 힘이 가해져서 결국 앞니가 버티지 못하고 흔들리게 된 것으로 추측이 됩니다.

​​어금니가 건재해야 앞니도 건강합니다.

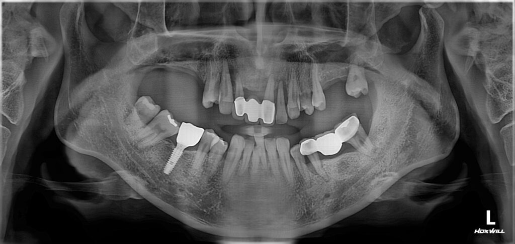
​상악 어금니의 경우 임플란트 심기에 뼈가 부족해서(흰색 실선) 상악동 거상술을 통해 뼈를 만들어줘야 했습니다. (초록색 실선)

​​상악동 거상술을 통한 뼈이식과 관련된 글 아래에서 확인 바랍니다.^^

상악동거상술 정리 –> https://brplant.co.kr/2784/

뼈이식 반드시 필요한 경우? –>https://brplant.co.kr/2918/

치료 진행과 결과

​위와 같이 임플란트 치료가 진행되었습니다. 상악 어금니는 상악동 거상술을 동반하여 뼈이식 임플란트를 식립하였고

​아래턱뼈는 그 양이 충분했기에 따로 뼈이식이 필요 없었습니다. ​

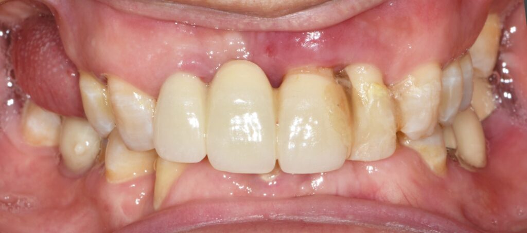
그리고 앞니 임플란트까지 잘 심어드렸네요.

어금니를 든든하게 만들어 드렸고 어금니와 앞니가 상호 보호하는 역할을 수행할 수 있도록 보철 과정을 잘 진행했습니다.

​6개월 검진 오셨는데 불편한 점 없이 잘 쓰고 있다고 고맙다고 인사 전해주셨네요.^^

마무리

40대 분들도 사실 아직 건강할 나이지만 생각보다 치아 상태가 안 좋으신 분들이 많습니다.

​젊으시다고 해서 방심하면 절대로 안 됩니다.

​꼭 1년에 최소 한번은 (두 번 권장 드립니다.) 내원하셔서 정기검진받으시고 이상이 있으면 잘 치료받으시길 바랍니다.

​다만 여러분이 왜 치료받으셔야 하는지 그 이유에 대해서 명확하게 납득이 가게끔 설명과 상담을 해주는 치과에서 받으시는 게 가장 좋겠죠^^

※ 본 게시물에 사용된 모든 사진은 환자 본인의 동의를 얻어 촬영 및 게재되었습니다.

동일 환자에 대한 치료 전·후 사진이며, 동일한 진료 환경에서 촬영되었습니다.

치료 결과는 개인의 구강 상태, 전신 건강 상태, 생활 습관 등에 따라 달라질 수 있습니다.

모든 치료에는 출혈, 통증, 부종, 감염 등의 부작용이 발생할 수 있으므로 충분한 상담이 필요합니다.

치료시작 : 25년 3월 5일

치료완료 : 25년 8월 20일