안녕하세요? 오늘은 모든 치아를 발치하고 전체 임플란트 치료를 통해서 삶의 질이 달라지신 환자분의 치료 사례입니다.
이 글을 통해서 임플란트 치료에 대한 많은 정보들 담아보도록 하겠습니다.
전체 치아 다 뽑아야 할 것 같아요.
비장한 눈빛을 한 40대 남성분이 치과에 오셨습니다.
치아 상태가 다 안 좋아요.
다 뽑아야 할 것 같아요.


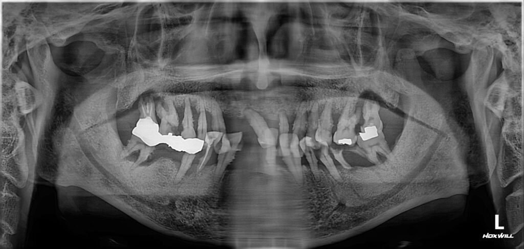
입안 상태를 보니 살릴 수 있는 치아가 하나도 안 보일 정도로 많이 손상되어 있었습니다.
그로 인해 얼마나 고통스러우셨을지 가늠이 되지 않았습니다.
이제 안 좋은 치아들, 그리고 거기에 붙어있는 염증조직들 그리고 세균 덩어리들 모두 제거한 뒤 임플란트 치료를 통해서 깨끗하고 가지런한 치아로 만들어드리기로 했습니다.
염증이 너무 심했기 때문에 발치하면서 바로 임플란트를 심지 않았고 발치 후 2개월 정도를 기다려서 염증이 다 없어지고 난 뒤 임플란트 수술을 하기로 했습니다.
임플란트 치료 기간 –> https://brplant.co.kr/2932/
네비게이션 시스템을 활용한 전체 임플란트 수술
네비게이션 시스템을 활용하여 전체 임플란트 수술을 했습니다.
하루에 위아래 다하기엔 환자분이 너무 힘드실 거고 마취약도 많이 써야 하고, 출혈도 많이 될 거라 이틀에 걸쳐서 위아래 임플란트 수술했습니다.
염증으로 뼈가 많이 손상되어 있긴 했지만 뼈의 폭(너비)이 충분해서 뼈이식은 따로 할 필요가 없었습니다. 상악동 거상술 역시 필요치 않았습니다.
하지만 보통 전체 임플란트 혹은 어금니를 재건해야 하는 분들의 경우 상악동 거상술과 뼈이식이 필요하신 경우가 많습니다.
그러한 분들은 아랫글 참고하시면 도움이 되실 거예요.
임플란트 뼈이식이란? –> https://brplant.co.kr/2787/
상악동 거상술이란? –> https://brplant.co.kr/2784/

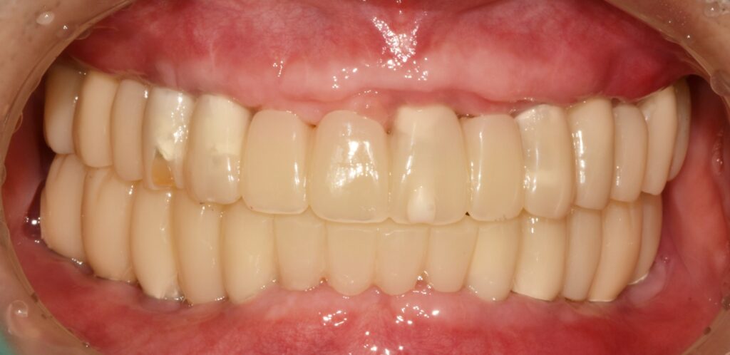
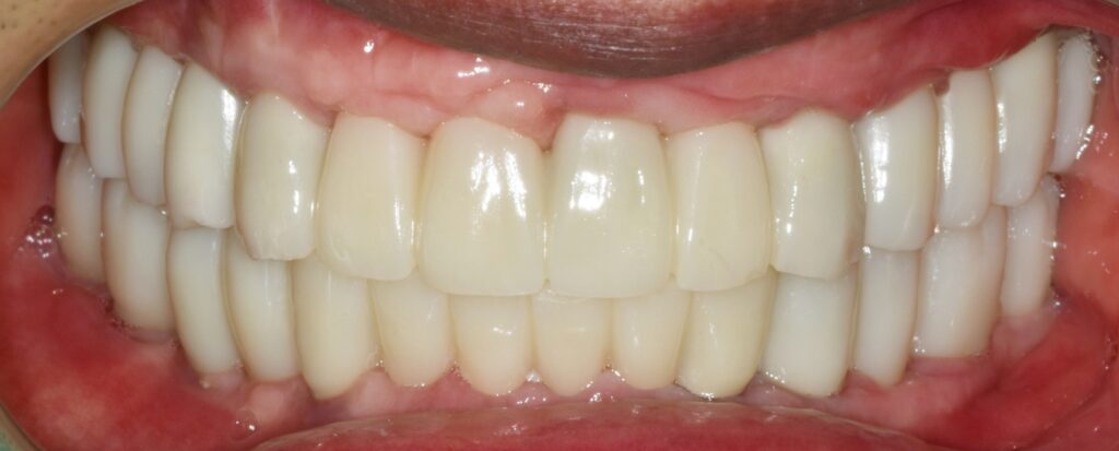
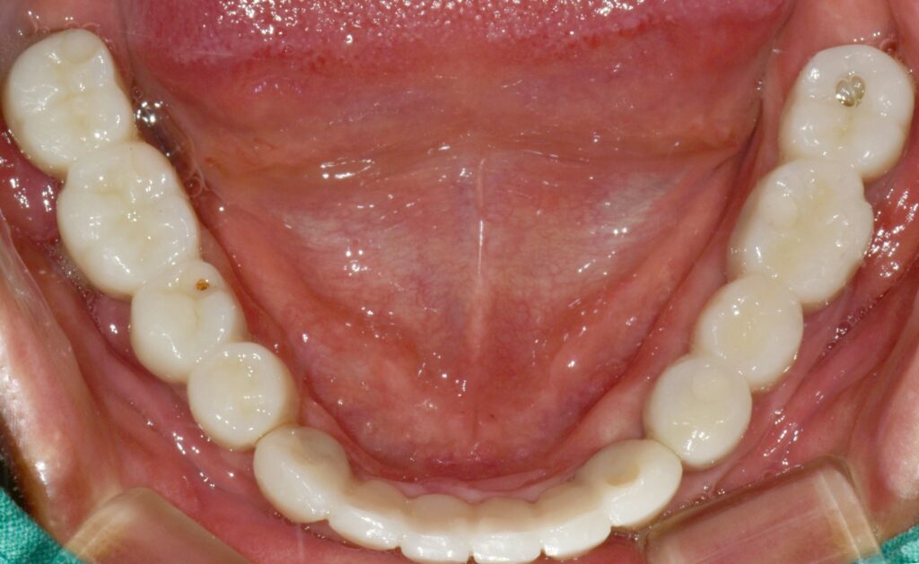
위와 같이 임플란트 수술을 마쳤습니다. 보기에 매우 좋죠?
보기에 좋은 떡이 맛도 좋듯이 보기에 좋은 임플란트가 기능도 좋고 튼튼합니다.^^

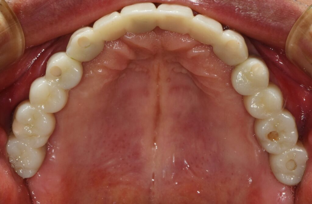
바로 최종 보철로 이행하지 않고 임시치아 기간을 가졌어요.
새로운 치아를 가지게 되었으니 턱관절도 그에 적응해야 하고 씹는 게 불편하지는 않은지 잘 씹히는지, 음식물이 끼지는 않는지
그러한 것들을 지속적으로 확인하면서 필요하면 조절을 해주는 과정입니다.
최종 보철물로 이행
임시 치아 기간을 대략 한 달에서 두 달 정도 갖고 모든 것이 다 좋다고 판단될 때 인상채득을 해서(본을 떠서) 최종 보철물로 이행을 해줍니다.





조화롭게 치료가 잘 된 모습입니다. 당연히 식사도 편하게 잘하시고 그 덕분에 생활에 활력이 넘치고 일이 잘 풀린다고 하셨습니다.
새 삶을 얻으신 것 같다고 후기 남겨주셨어요.^^
마무리
치아가 많이 상실된 채로 살아가시는 분들이 아직도 많으십니다.
치아가 없으면 식사도 못하고 건강한 삶을 영위할 수가 없죠.
하루빨리 튼튼하게 치아를 만들어서 맛있는 것도 많이 드시고 건강한 삶을 사시길 간절히 바랍니다.
※ 본 게시물에 사용된 모든 사진은 환자 본인의 동의를 얻어 촬영 및 게재되었습니다.
동일 환자에 대한 치료 전·후 사진이며, 동일한 진료 환경에서 촬영되었습니다.
치료 결과는 개인의 구강 상태, 전신 건강 상태, 생활 습관 등에 따라 달라질 수 있습니다.
모든 치료에는 출혈, 통증, 부종, 감염 등의 부작용이 발생할 수 있으므로 충분한 상담이 필요합니다.
치료시작 : 25년 3월 10일
치료완료 : 25년8월 25일
