다른 치과에서 발치 권유받은 깊은 충치를 신경치료를 통해 치료한, 자연치아 살리기 증례입니다.
발치 대신 치아를 살리는 선택
“다른 치과에서는 뽑아야 한다고 했는데, 여기는 살릴 수 있다고 들어서 왔어요.”
진료실에서 가끔 듣는 말이지만, 들을 때마다 마음이 무거워집니다. 환자분께 치아를 살려드릴 수 있을지 확신할 수 없기 때문입니다. 오늘 소개해드릴 증례도 그런 케이스였습니다.
증례 소개 | 어금니 깊은 우식, 발치 권유 후 내원


내원하신 환자분은 어금니에 심한 충치(우식)가 있는 상태였습니다.
- 주소(Chief Complaint): 어금니 통증 및 불편감
- 타 치과 진단: 우식이 너무 깊어 발치 권유
- 내원 이유: 치아를 최대한 살리는 치료를 받고 싶어서
X-ray와 임상 검사 결과, 우식의 깊이가 실제로 상당했습니다. 신경(치수)에 근접하거나 이미 영향을 미쳤을 가능성이 높은 상태로, 치아를 살리는 것이 쉽지 않아 보였습니다. 그러나 발치 전, 할 수 있는 모든 시도를 해보기로 했습니다.
치료 과정 | 신경치료(근관치료) 진행
왜 신경치료가 필요했을까요?
충치가 법랑질과 상아질을 넘어 치수(신경)에 근접하거나 침범했을 경우, 단순 충치 치료만으로는 치아를 유지하기 어렵습니다. 이 경우 근관치료(신경치료)를 통해 감염된 신경 조직을 제거하고 내부를 깨끗이 소독·충전해야 합니다.
아래는 신경치료에 대해서 정리한 글입니다. 읽어 보시면 도움이 되실거에요.
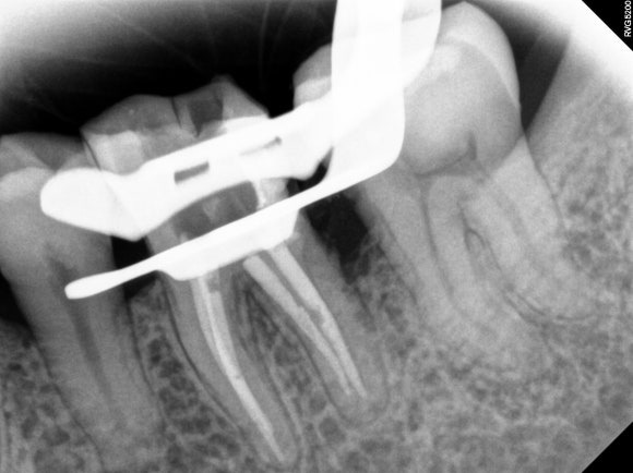
이번 증례는 어금니의 해부학적 구조상 근관이 복잡하게 분지되어 있어 각별히 세심한 처치가 필요했습니다.

신경치료를 완료한 사진
최종 수복 | 크라운(치과 보철) 완료


신경치료 후, 치아 구조가 약해진 어금니를 보호하기 위해 크라운(crown, 치과 보철물) 을 제작·장착했습니다.
신경치료를 마친 치아는 내부 수분과 영양 공급이 차단되어 파절(부러질) 위험이 높아집니다. 크라운은 치아 전체를 감싸 이런 위험을 방지하고, 정상적인 저작 기능을 회복시켜줍니다.
치료 결과, 환자분은 불편 없이 정상적인 교합과 기능을 회복하셨습니다.
크라운 치료란? 아래글에 잘 정리해두었습니다.
https://blog.naver.com/dentikay/223849221497
치료를 마치며
솔직히 말씀드리면, 쉬운 치료가 아니었습니다.
우식의 깊이, 근관의 복잡한 해부학적 구조, 치아를 살릴 수 있을지에 대한 불확실성까지 — 모든 단계에서 세심한 판단이 필요했습니다. 그럼에도 치아를 살려드릴 수 있어서 정말 보람 있는 증례였습니다.
“뽑아야 한다”는 말을 들으셨더라도, 한 번쯤 다시 확인해보시길 권합니다. 모든 치아를 살릴 수는 없지만, 살릴 수 있는 치아라면 최선을 다해 보존하는 것이 옳다고 믿습니다.
자주 묻는 질문 (FAQ)
Q. 다른 치과에서 발치 권유를 받았는데, 꼭 뽑아야 하나요?
A. 반드시 그렇지는 않습니다. 치아의 상태와 잔존 치질의 양, 주변 조직 상태에 따라 신경치료 후 보철 치료로 치아를 유지하는 것이 가능한 경우도 있습니다. 정확한 진단을 위해 추가적인 검사와 전문의 상담을 받아보시길 권장합니다.
Q. 신경치료 후에는 꼭 크라운을 해야 하나요?
A. 어금니의 경우 신경치료 후 치아가 취약해지므로 크라운으로 보호하는 것이 강력히 권장됩니다. 크라운 없이 방치하면 치아가 파절될 위험이 높습니다.
Q. 신경치료는 많이 아픈가요?
A. 충분한 마취 하에 진행하기 때문에 시술 중 통증은 거의 없습니다. 치료 후 수일간 경미한 불편감이 있을 수 있으나 대부분 자연스럽게 완화됩니다.
※ 본 게시물에 사용된 모든 사진은 환자 본인의 동의를 얻어 촬영 및 게재되었습니다.
동일 환자에 대한 치료 전·후 사진이며, 동일한 진료 환경에서 촬영되었습니다.
치료 결과는 개인의 구강 상태, 전신 건강 상태, 생활 습관 등에 따라 달라질 수 있습니다.
모든 치료에는 출혈, 통증, 부종, 감염 등의 부작용이 발생할 수 있으므로 충분한 상담이 필요합니다.
치료시작 : 25년 11월 11일
치료완료 : 25년 11월 24일
