안녕하세요 치과의사 오택근입니다.
오늘은 어금니 치아 흔들림으로 내원하신 여성분이 임플란트 치료를 받으셨던 사례를 소개해드립니다.
치아가 아프고 흔들리지만 여러 사정으로 치료를 미루다 마침내 치과를 방문하시는 분들이 종종 계십니다.
오늘 소개드릴 60대 여성 환자분도 그런 경우였습니다.
치아가 많이 흔들리고 고름이 나오는 상황까지 진행되었지만 쉽게 결심이 서지 않아 오랫동안 참아오셨다고 합니다.
하지만 이미 어금니를 포함한 여러 치아들이 심한 잇몸질환으로 무너진 상태였고, 단순한 잇몸치료만으로는 해결이 어려운 상황이었습니다.
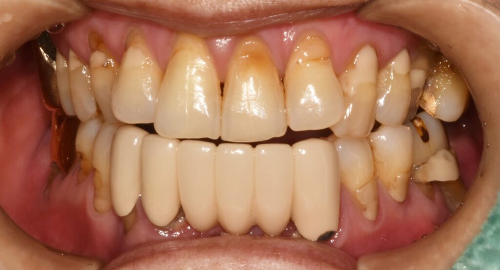
초진 상태


처음 오셨을 때의 구강 내 상태입니다.
대부분의 어금니가 심하게 흔들리고, 잇몸에서는 고름이 나오는 부위도 관찰됩니다.
어금니는 씹는 힘을 담당하는 중요한 치아이기 때문에 어금니가 무너지면 위아래 치아가 서로 안정적으로 맞물리는 교합관계도 함께 무너지게 됩니다.
치료 계획 및 진행
이 정도까지 잇몸질환이 진행되었을 경우, 해당 치아를 더 이상 보존하는 것이 현실적으로 어렵습니다.
오히려 무리하게 살리려다 보면 주변 뼈를 더 잃게 되어 결국 임플란트마저 어렵게 되는 경우도 있습니다. 그래서 저희는 환자분께 발치 후 임플란트 치료로 계획을 세워드렸습니다.
발치를 하고 보니 역시나 뿌리까지 많이 오염되어있었습니다.

일정 수준 이상까지 치석이 진행되고 잇몸뼈가 파괴되면 치료가 어렵고, 억지로 치료한다고 하더라도 관리가 매우 어려워서 결국에는 빼게되는 상황에 이르게 됩니다.
일정 수준 이상까지 나빠지지 않도록 관리하는 것이 정말 중요합니다.
보다 정확한 수술을 위해 내비게이션 임플란트 시스템을 사용하였습니다.
잇몸뼈가 많이 무너진 부위에는 뼈이식을 함께 시행했고, 아래와 같이 수술이 완료되었네요.

네비게이션 임플란트란? –> https://brplant.co.kr/2776/
뼈이식 반드시 필요한 경우 –> https://brplant.co.kr/2918/
임플란트 골유착 및 보철 완성
수술 후 약 3개월간 골 유착(뼈와 임플란트가 붙는 과정) 기간을 기다렸습니다.
그 후 특수 장비를 이용해 골 유착 정도를 측정한 결과, 모든 부위에서 안정적인 수치가 확인되었습니다.
정밀하게 본을 뜬 뒤 최종 보철(치아머리)을 제작하여 치아 기능과 심미성을 회복시켜 드렸습니다.
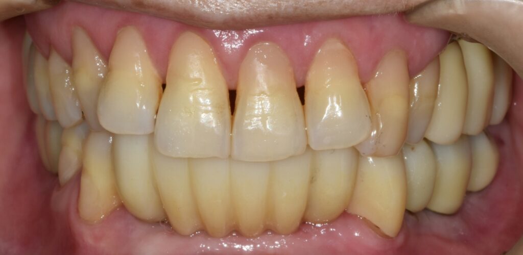
치료 결과 및 결론


처음 오셨을 때와 비교하면 윗니와 아랫니가 물리는 관계(교합관계)가 훨씬 안정적으로 개선되었습니다.
견고하게 식립된 임플란트가 어금니의 기능을 잘 회복해 주고 있고, 앞니 보철도 함께 정리하여 전체적인 기능 균형을 되찾았습니다.
어금니가 단단하게 버텨줘야 앞니도 제 역할을 할 수 있으며, 또한 앞니가 제 역할을 해줘야 어금니도 과도한 힘을 받는 것을 막을 수 있습니다.
이런 균형 있는 치료가 이루어져야 향후 잇몸과 치아 상태를 오래도록 안정적으로 유지할 수 있죠.
마무리하며
잇몸병은 서서히 진행되기 때문에 방치하기 쉬우나, 일단 손실이 진행되고 나면 되돌리기 매우 어렵습니다. 정기적인 관리와 조기 치료의 중요성을 늘 강조 드리는 이유입니다.
아직 25년도에 스케일링 안 받으셨다면 검진도 하고 스케일링도 받을 겸 치과에 꼭 내원하시길 바랍니다.
치아 스케일링 받고 건강해진 사례 –> https://blog.naver.com/dentikay/223865859523?trackingCode=blog_bloghome_searchlist
