오늘은 전체 임플란트 치료를 통해 기능적인 회복과 삶의 질 향상을 경험하신 한 환자분의 사례를 소개해 드리려 합니다.
틀니로 오랜 기간 생활하시며 여러 불편을 겪으셨던 분이셨는데요, 치료 이후 구강 기능이 회복되며 일상에서 많은 변화를 느끼셨다고 말씀해 주셨습니다.
환자분과의 첫 대면


이분은 내원 당시 상악(위턱)에는 뿌리만 남은 치아들 위로 전체 틀니를 사용하고 계셨습니다.
하악(아래턱)의 경우에는 치아가 일부 남아 있었지만, 심한 치주염으로 인해 치아 대부분이 손상된 상태였습니다.
주변에 틀니를 쓰는 분이 계신다면, 틀니가 얼마나 불편한지 다들 아실 거라고 생각합니다.
잘 씹히지도 않고, 또 얼마나 잘 벗겨지는지.. 불편한 점이 이만저만이 아니죠.
위턱에는 불편한 틀니를 쓰고 계셨고, 아래 치아들은 심한 염증으로 고통스러운 하루하루를 지내시다가 큰맘 먹고 내원하셨다고 하십니다.
진단과 치료 계획 수립
상악 9개, 하악 7개의 임플란트 식립
일부 치아는 보존 후 전체 보철 진행
진단 및 상담 후, 전체적인 치료 계획을 수립하였고 상악에는 9개의 임플란트를 식립, 하악에는 7개의 임플란트를 식립하기로 했습니다.
하악의 44번, 45번 치아는 보존이 가능하다고 판단되어 살려서 전체 보철에 포함시켰습니다.
임플란트도 좋지만, 살릴 수 있는 내 치아는 가급적 살려가는 게 좋습니다.
이번 치료에는 두 가지 핵심 기술이 적용되었습니다.
1)네비게이션 임플란트를 통해서 빠른 회복을 도모하기로 했습니다.
2) 상악동 거상술을 통해 위턱의 모자란 뼈를 보강하기로 했습니다.
상악동 거상술 관련된 내용은 아래 글에 담아봤습니다.^^
상악동 거상술이란? –> https://brplant.co.kr/2784/
네비게이션 임플란트 기술을 적용하여 임플란트를 식립
이번 치료에서는 네비게이션 임플란트 수술을 적용하였습니다.
이는 사전에 촬영한 CT 데이터와 3D 가상 시뮬레이션을 기반으로, 식립 위치와 각도를 계획한 뒤 해당 계획에 맞춰 가이드를 제작하고 수술에 반영하는 방식입니다.
이를 통해 수술 시 예상하지 못한 위치 편차나 신경 손상 위험을 줄일 수있는 섬세한 방식으로 임플란트를 식립할 수 있었습니다.
네비게이션 임플란트는 고난도 무치악 환자나, 해부학적으로 복잡한 부위에서 수술의 안정성과 예측성을 높이기 위해 널리 활용되고 있는 최신 기술 중 하나입니다.
이번 환자분의 경우에도 해당 시스템을 통해 치료 전후의 일관된 계획과 결과를 도출할 수 있었고, 전체 보철이 안정적으로 완성되는 데 큰 도움이 되었습니다.
네비게이션 임플란트 관련 아래 글 참고해 주시길 바랍니다.
네비게이션 임플란트란? –> https://brplant.co.kr/2776/
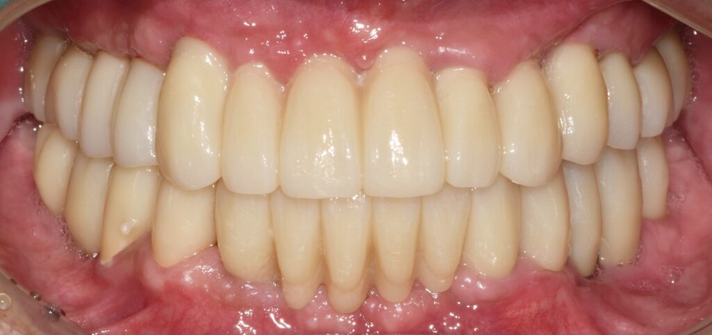
수술 및 보철 과정까지 완료


임플란트 수술과 보철까지 완료된 모습입니다.
환자분께서는 치료 전에는 틀니 사용으로 인한 불편함과 잇몸 통증,
식사 시의 제한 등으로 인해 일상생활에 어려움을 많이 느끼셨다고 합니다.
치료가 완료된 이후에는 식사나 발음, 구강 위생 관리 등 여러 면에서 개선을 체감하시며,
“이제야 마음 편히 식사를 할 수 있게 되었다”라고 이야기해 주셨습니다.
(해당 내용은 환자 개인의 치료 후기를 기반으로 하며, 치료 결과는 개인마다 다를 수 있습니다.)
진료를 결정하기까지, 많은 고민을 하신 분이었습니다.
사실 이분도 처음부터 임플란트 치료를 결심하신 건 아니었습니다.
오랜 기간 동안 치료를 미루시며 “과연 내가 임플란트를 해도 괜찮을까?” “틀니로 그냥 살아야 하나?” 하는 고민을 많이 하셨다고 합니다.
하지만 충분한 상담과 설명을 통해 치료의 과정과 예후에 대해 이해하시고 조심스럽게 결심을 하셨고, 지금은 “치료를 받길 정말 잘했다”라는 말씀을 남겨주셨습니다.
마무리하며
모든 치아를 잃은 경우에도, 또는 기존의 틀니로 어려움을 겪고 계시더라도 충분한 진단과 치료 계획을 통해 개개인에게 맞는 임플란트 치료가 가능합니다.
치과의사의 입장에서, 단순히 ‘임플란트를 심는다’는 기술적인 측면을 넘어 환자분께서 치료를 통해 일상에서 더 나은 삶을 경험하실 수 있도록
도움을 드리는 것이 가장 보람된 순간인 것 같습니다.
