오늘은 치아 라미네이트에 대해서 얘기해보겠습니다.
가끔 연예인처럼 하얗고 가지런한 치아를 갖고 싶다며 치과에 내원하시는 분들이 계십니다.
“미백 치료를 여러 번 하면 연예인처럼 하얀 치아가 될 수 있나요?”라는 질문을 받는 경우도 종종 있습니다.
하지만 결론부터 말씀드리면 치아 미백만으로 연예인처럼 새하얀 치아를 만드는 데에는 한계가 있습니다.
오늘은 많은 분들이 궁금해하시는 치아 미백의 한계와 라미네이트 치료에 대한 이야기를 실제 상담 사례를 바탕으로 설명해 보겠습니다.
치아 미백으로는 얼마나 하얘질 수 있을까?
치아 미백은 치아 내부의 색소를 산화시키는 방식으로 치아의 색을 밝게 만드는 치료입니다.
일반적으로는 현재 치아 색상에서 1~2단계 정도 밝아지는 효과를 기대할 수 있습니다.
즉,
- 노랗거나 어두운 치아를
- 조금 더 밝고 깨끗한 톤으로 만드는 치료라고 이해하시면 좋습니다.
하지만 많은 분들이 생각하시는 것처럼 연예인처럼 매우 하얀 치아를 만드는 치료는 아닙니다.
아래글은 치아미백 관련 내용을 정리한 글입니다.
치아미백 –> https://brplant.co.kr/2998/
연예인처럼 하얀 치아의 비밀
방송이나 사진에서 보이는 연예인들의 치아는 매우 하얗고 가지런하며 치아 모양도 일정한 경우가 많습니다.
이러한 경우 대부분은 라미네이트, 크라운 등을 통해 치아의 색상과 형태를 동시에 개선한 경우가 많습니다.
물론 모든 경우가 그렇다고 단정할 수는 없지만, 자연 치아만으로 그런 색상과 형태를 동시에 갖추는 경우는 흔하지 않습니다.
라미네이트 치료의 특징
심미적인 치아 치료 방법에는 여러 가지가 있습니다.
대표적으로
- 크라운 치료
- 라미네이트 치료
가 있습니다.
이 두 치료의 가장 큰 차이는 치아 삭제량입니다.
크라운 치료
크라운 치료는 치아 전체를 덮는 방식이기 때문에 치아를 비교적 많이 삭제해야 하는 경우가 많습니다.
라미네이트 치료
반면 라미네이트는 치아의 앞면에 얇은 세라믹을 붙이는 방식으로
- 필요한 부위만 선택적으로 삭제할 수 있고
- 자연치아를 최대한 보존하면서
- 색상과 형태를 동시에 개선할 수 있다는 특징이 있습니다.
다만 모든 경우에 라미네이트가 가능한 것은 아니며 치아 상태와 교합 등을 종합적으로 평가한 후 치료 방법을 결정하게 됩니다.
실제 상담 후 라미네이트를 선택한 사례

40대 여성분이 치과에 내원하셨습니다. 치아가 노래서 하얗게 만들고 싶다고 하셨습니다.
그동안 미백 치료를 몇번 했었는데 별로 효과를 거두지 못했다고 하십니다.
미백으로는 기대하는 정도의 효과를 거두기 어렵다 판단했고, 또한 미백은 주기적으로 해줘야하는 바면, 라미네이트의 경우 한번만 하면 되기 때문에 그러한 장점을 설명드리며 라미네이트 치료를 권유드렸습니다.
환자분께서는 그런 방법이 있는지 모르셨다며, 치료를 진행하기로 하셨습니다.

필요한만큼만 치아를 삭제하고 찍은 사진 입니다.
저 위에 사진이랑 비교해보면, 치아를 얼마나 깎아냈는지 볼 수 있습니다.
치아를 깎은게 맞아? 라는 생각이 들정도로 치아를 거의 깎아내지 않았습니다.

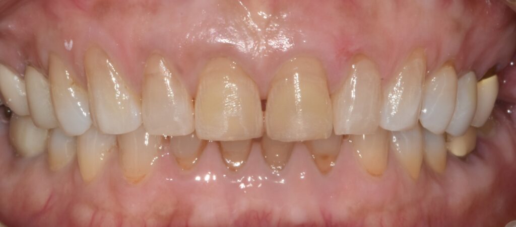
라미네이트를 붙이고 난 뒤의 사진입니다.
치아 색깔이 많이 밝아진 것을 확인할 수 있습니다.
미백으로는 이정도까지 효과를 낼 수가 없습니다.
더 하얗게 만들수도 있었지만 자칫 부자연스러울 수 있어서
자연스럽게 만들어드리겠다고 했고 환자분께서는 매우 만족하셨습니다.

정리
치아를 하얗게 만드는 방법에는 여러 가지가 있습니다.
- 자연스러운 밝기 개선 → 치아 미백
- 색상 + 형태 개선 → 심미 보철 치료 (라미네이트 등)
어떤 치료가 적합한지는
- 치아 상태
- 교합
- 환자가 원하는 심미 수준
등을 종합적으로 고려하여 결정하는 것이 중요합니다.
단순히 “하얀 치아”가 아니라
자연스럽고 조화로운 치아를 만드는 것이 심미 치료에서 더 중요한 부분이라고 생각합니다.
