직전에 치아미백을 소재로 글을 올렸었는데요, 이번에는 치아미백 말고 잇몸미백에 대한 정보 가지고 와봤습니다.
잇몸미백은 생소하시죠? 잇몸미백 시술을 하는 치과가 많지 않아서 잘 모르셨을 거예요. 그런데 이 잇몸미백은 사실 치아미백보다 훨씬 더 강력한 효과가 있습니다.
오늘 잇몸미백 치료 사례 보여드릴 건데, 혹시 잇몸이 까맣게 어두워서 고민이셨던 분들에게 도움이 되기를 바랍니다.
참고로 치아미백 궁금하신 분들은 아래 글 클릭해 보세요:)
치아미백이란 –> https://brplant.co.kr/3136/
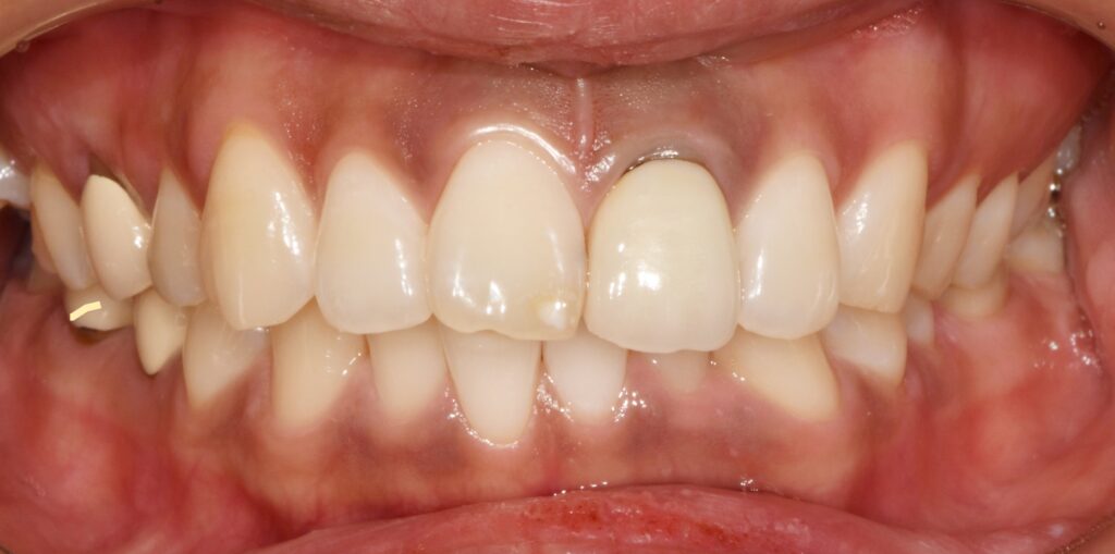
앞니 심미적 개선점 파악 및 치료 계획
20대 여성분이 앞니 크라운 교체를 원하셔서 저희 치과에 내원해 주셨습니다.

20대 여성분이십니다.
어디가 문제인 것으로 보이나요?

저는 이렇게 세 군데가 문제점이라고 생각했습니다.
1. 잇몸이 까맣게 보여서 심미적으로 좋지 않습니다. (연두색 화살표)
2. 과거에 했던 보철물 하방과 잇몸 경계부에 까맣게 보철물 내부 치아가 드러나서 보기 좋지 않습니다. (노란색 화살표)
3. 그리고 마지막으로 대문니에 보이는 반점치, 반상치입니다.(흰색 화살표)
20대 여성분이라면 거울을 정말 많이 들여다볼 것이며 치아의 작은 틀어짐이나 흠집에도 신경을 곤두세울 것입니다.
지금 위에서 언급한 세 가지는 모두 20대 여성들에게는 어쩌면 치명적인 콤플렉스일 수 있다고 생각합니다.
환자분과의 긴 상담 끝에 잇몸미백 반상치 반점치 크라운 교체 세 가지를 모두 해결해 보기로 했습니다.
편측 크라운 치료는 매우 어려운데요. 치아의 색상을 정확하게 맞추는 게 여간 어려운 일이 아니기 때문입니다.
그래서 이런 한계점에 대해서는 어느 정도 인지하고 동의하고 치료에 들어가는 게 서로의 정신건강에 좋습니다. 앞니 치료는 그래요… 매우 어렵습니다^^;
세 가지 문제점 해결하는 과정

첫 번째로 잇몸 미백 성형을 시행하였습니다.(연두색 화살표)
마치 잇몸에 상처라도 난 것처럼 보이지만 금방 회복이 되면서 예쁜 핑크색이 될 것입니다.
과거에 착색/변색됐던 부위에 얕은 상처를 내면, 그 부위로 새살이 돋아나면서 건강한 선홍빛 잇몸이 되는 것이죠.
피부과의 피부 시술과 비슷하죠?^^; 예뻐지는 과정은 다들 비슷합니다.

기존에 끼웠던 크라운을 제거하고 임시치아를 넣어준 상태입니다.(노란색 화살표)
원래 크라운보다 새로 만들어 준 임시치아가 더 심미적이네요 ^^;
임시치아를 이용해서 기존 지대치의 잇몸 부분을 잘 컨트롤해서 잇몸 또한 심미적으로 만들어낼 수 있습니다.
잇몸미백을 시행했던 잇몸 부위는 벌써 선홍색의 아주 건강한 잇몸으로 힐링이 되었습니다.(초록색 화살표)
반점치, 반상치의 경우, 살짝 그 부분 제거하고 레진으로 수복해 드렸습니다.(흰색 화살표)
2주 이상 임시치아 사용을 거치면서 잇몸이 잘 안정화되는지 지켜봅니다.
그리고 잇몸이 어느 정도 안정이 되었다고 판단이 들면 그때 인상을 채득하여 최종 치아로 이행되는 과정을 거칩니다.

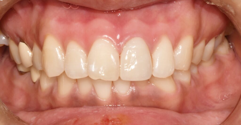
치료를 모두 마친 상태입니다. 양쪽을 대칭으로 하는 게 아니라 이렇게 필요한 치아에만 편측으로 하는 크라운은 색상과 질감 등을 옆의 치아와 맞추기가 정말 많이 어렵습니다.
하지만 그 와중에 정말 좋은 결과 나온 것 같네요^^;
결과적으로 까맣게 비춰 보이던 잇몸을 선홍색의 건강하고 예쁜 잇몸으로 만들어드렸고, 크라운의 경계부의 변색 부위를 완벽하게 차단하여 치아의 색도 이질감이 없도록 하였으며, 대문니에 있던 반점치까지 함께 해결했습니다.

이렇게 비교해 보면, 앞니 치료가 잘 되었다는 것을 한눈에 알아볼 수가 있습니다.
환자분도 매우 만족해하셨습니다.
마무리하며
오늘은 반상치 반점치를 레진으로 해결하고 오래된 앞니 크라운을 교체하면서 까맣게 변색된 앞니 잇몸 미백까지 예쁘게 잘 해결한 케이스 소개해 드렸습니다.
유사한 케이스가 있어서 이 글을 보시게 된 여러분들이라면, 이 글을 참고하셔서 치료를 잘 받을 수 있으면 좋겠습니다.
※ 본 게시물에 사용된 모든 사진은 환자 본인의 동의를 얻어 촬영 및 게재되었습니다.
동일 환자에 대한 치료 전·후 사진이며, 동일한 진료 환경에서 촬영되었습니다.
치료 결과는 개인의 구강 상태, 전신 건강 상태, 생활 습관 등에 따라 달라질 수 있습니다.
모든 치료에는 출혈, 통증, 부종, 감염 등의 부작용이 발생할 수 있으므로 충분한 상담이 필요합니다.
치료시작 : 24년 11월 21일
치료완료 : 24년 12월 10일
