무삭제 라미네이트 하고 환한 미소로 예뻐지세요.

오늘은 무삭제 라미네이트를 통해 치아의 색상이 훨씬 환해지신 20대 여성분의 치료 케이스를 소개해드리겠습니다.

​무삭제 라미네이트는 심미성을 개선하려 하는 성형입니다.

과거에는 연예인들만 하는 치료로 여겨졌었는데 어느 순간부터는 일반인 20대 여성들도 많이들 찾기 시작했고 현재에는 중년 여성들도 많이 찾고 있습니다.

나중에는 중년 남성들도 수요가 있지 않을까 생각이 드네요.

그만큼 “심미”라는 것이 중요한 키워드가 된 세상인 것 같습니다.

무삭제 라미네이트 할 수 있어요?

20대 여성분께서 무삭제 라미네이트 할 수 있냐며 치과에 내원하셨습니다.

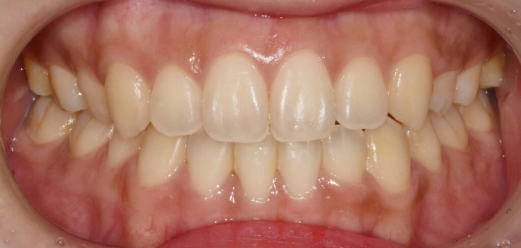
이런 상태로 치과에 내원하셨습니다. 치아 교정을 하셔서 치열은 아주 좋은 상태셨습니다.

그런데 이분은 아나운서 지망생이셨습니다. 따라서 지금 상태로 카메라에 녹화된 본인의 모습을 보면 치아의 색상이 조금은 노랗다고 생각되어 항상 신경이 많이 쓰이신다고 말씀하시더군요.

​실제로 치아 색상이 저 정도면 많이 노란 편은 아닙니다. 그냥 평범한 치아색인데요. 워낙 하얀 치아들을 자랑하는 연예인들이 많은 방송계에서 일하는 것을 꿈꾸시는 분이다 보니 그런 부분까지 신경이 쓰이셨나 봅니다.

본을 떠서 거래하는 기공소로 보내면 완성됐을 때의 모습을 제작해서 보내줍니다.

​이 모형을 가지고 환자분과 상담을 합니다. 완성되면 이런 모양이 될 것인데 괜찮으시겠어요? 혹시 수정하고 싶은 사항은 없으실까요?

​사실 원래 치열도 좋았고 치아 모양도 좋으셨기 때문에 환자분께서는 이대로 진행하자 하셨습니다.

​원래는 아래 치아까지 같이 하실 계획이셨으나 윗니 먼저 해보시고 아랫니는 나중에 하겠다고 하셔서 윗니 먼저 진행했습니다.

최종 결과입니다. 아주 심미적인 결과가 나온 것 같습니다. 매우 자연스러운 치열과 치아 색상 그리고 모양으로 완성이 되었습니다.

​환자분께서는 매우 만족하셨습니다. 저도 보면서 아주 흡족했던 케이스였네요.​

저희 바른플란트치과에서는 부작용이 절대 없도록 하기 위해 그리고 무삭제라미네이트 좋은 결과를 내기 위해 좋은 재료와 특수장비를 사용합니다.

​무삭제라미네이트 보철물이 치아에 잘 접착되기 위해서는 반드시 보철물에 산처리와 silane이라는 약품 처리를 해줘야 합니다.

​이 과정을 기공소에 부탁하고 치과 내에서는 안 하는 경우도 많습니다. 저희 바른플란트치과는 산처리와 약품 처리 모두 원내에서 직접 하고 있습니다.

다소 번거롭지만 좋은 결과를 위해서는 기공소에 의존할 수는 없고 그 과정을 저희가 직접 해야 한다고 생각하기 때문입니다.

​그다음 중요한 것은 라미네이트를 붙일 때 흘러나온 접착제를 잘 제거해 주는 것인데요. 그것을 위해서는 이렇게 생긴 특수한 광중합기(빛을 쪼여서 접착제를 단단하게 만들어주는 장치)가 필요합니다.

​그 이유까지 설명드리긴 좀 힘들고 어쨌든 보통은 저 팁 부위가 저렇게 좁지 않고 넓은데요. 이렇게 팁이 좁은 특수한 팁을 이용해야지 잉여 접착제를 깔끔하게 잘 제거할 수 있습니다.

​그렇기에 다음과 같은 좋은 결과물들을 얻을 수가 있었던 것입니다.

중년 여성 라미네이트 케이스 –> https://brplant.co.kr/3126/

중년 남성 라미네이트 케이스 –> https://brplant.co.kr/3013/

※ 본 게시물에 사용된 모든 사진은 환자 본인의 동의를 얻어 촬영 및 게재되었습니다.

동일 환자에 대한 치료 전·후 사진이며, 동일한 진료 환경에서 촬영되었습니다.

치료 결과는 개인의 구강 상태, 전신 건강 상태, 생활 습관 등에 따라 달라질 수 있습니다.

모든 치료에는 출혈, 통증, 부종, 감염 등의 부작용이 발생할 수 있으므로 충분한 상담이 필요합니다.

치료시작 : 25년 6월 5일

치료완료 : 25년 6월 15일