치아미백 치료 도움 될까?

치과에 내원하시는 분들 중에는 치아미백을 통해 치아를 하얗게 만들고 싶다고 말씀하시는 분들이 정말 많습니다.

​치아의 색을 밝게 만드는 방법은 크게 두 가지로 나눌 수 있습니다.

첫 번째는 치아미백이고

두 번째는 치아 보철치료입니다.

보철치료에는 크라운이나 라미네이트 같은 방법이 포함됩니다.


치아를 하얗게 만드는 두 가지 방법

1. 치아미백

치아미백은 자연치아를 그대로 유지하면서 치아의 색을 밝히는 방법입니다.

미백제를 이용해 치아 내부의 색소를 분해하여 치아 색을 조금 더 밝게 만드는 치료입니다.

다만 치아미백에는 한계가 있습니다.

자연치아의 색 자체를 완전히 바꾸는 치료가 아니라

기존 치아가 가진 자연스러운 색에서 한 단계 정도 밝아지는 정도라고 이해하시는 것이 좋습니다.

그래서 드라마틱하게 새하얀 치아로 바뀌는 경우는 많지 않습니다.

2. 크라운이나 라미네이트 같은 보철치료

반면 크라운이나 라미네이트 같은 보철치료를 이용하면

치아 색을 훨씬 더 밝고 하얗게 만들 수 있습니다.

연예인들의 가지런하고 아주 하얀 치아를 보신 적이 있을 텐데

대부분 이런 보철치료를 통해 만들어진 경우가 많습니다.

보철치료는 외부에서 제작한 세라믹 재료를 이용하기 때문에

원하는 색으로 치아를 만들 수 있다는 장점이 있습니다.


하지만 보철치료는 고려해야 할 점도 있습니다

보철치료를 위해서는

  • 치아를 일정 부분 삭제해야 하거나
  • 치아 표면에 보철물을 접착해야 합니다.

그래서 자연치아를 최대한 유지하고 싶거나 치아를 깎는 것에 부담을 느끼시는 분들은 치아미백을 먼저 고려하는 경우가 많습니다.

치아미백은 한계는 있지만

자연치아를 그대로 유지하면서 치아 색을 밝힐 수 있는 방법이기 때문입니다.


치아미백은 어떤 치료?

치아미백과 관련한 자세한 정보를 얻고 싶으신 분들은 아래글을 참고하시면 많은 도움이 되실겁니다.

치아미백 –> https://brplant.co.kr/2998/

치아미백 Q&A –> https://brplant.co.kr/3132/

사례로 알아보는 치아미백

20대 여성분이 치아를 좀 더 하얗게 만들고 싶다며 치과에 내원하셨습니다.

한참 외모에 신경을 많이 쓸 나이인데, 치아가 살짝 노란빛깔을 띄고 있었습니다.

​치아미백 상담을 해드렸고, 진행하길 희망하셔서 진행 했습니다.

왼쪽 사진이 바로 치아미백을 하기 전 치아 상태입니다.

오른쪽은 치아미백을 2회 마치고 난 치아 상태입니다.

확실히 치아가 전체적으로 밝아진 것을 확인할 수가 있습니다.

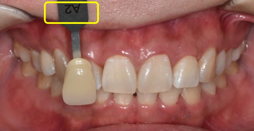
좀더 객관적인 비교를 위해서 같은 shade(같은색)를 가진 치아 모형을 옆에 두고 사진을 찍었습니다.

a2 색조를 가진 치아모형과 환자분의 치아 색의 차이를 비교해보시면

왼쪽에서 오른쪽으로 되면서 색이 확연히 밝아진 것을 볼 수가 있습니다.​

환자분께서도 치아색이 확실히 밝아지셨다며 만족하시면서 귀가하셨습니다.

하지만 만약, 이것보다 훨씬 드라마틱한 결과를 원하신다면 라미네이트 치료를 하시는 게 낫습니다.

라미네이트 치료 관련된 글은 아래글을 참고해주시면 도움되실겁니다.

라미네이트 치료사례 –> https://brplant.co.kr/3126/

결론

치아를 하얗게 만드는 방법에는 치아미백과 보철치료 두 가지 방법이 있습니다.

치아미백은 자연치아를 그대로 유지하면서 색을 밝히는 방법이고 크라운이나 라미네이트 같은 보철치료는 더 밝은 색의 치아를 만들 수 있는 방법입니다.

​각 치료 방법에는 장단점이 있기 때문에 치아 상태와 원하는 결과를 고려해 적절한 치료 방법을 선택하는 것이 중요합니다.