앞니 벌어짐 다이아스테마 레진 치료
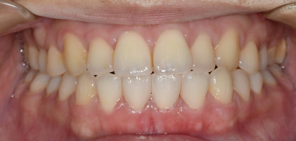
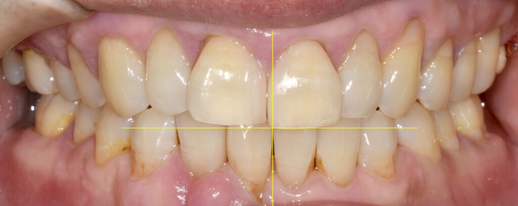
임플란트도 많이 하고 앞니 치료도 많이 하는 바른플란트치과입니다. 잘 씹게 해드리고 싶고 또 예쁘게 해드리고 싶습니다. 제가 치과의사가 되면서 제일 하고 싶었던 것 두 가지입니다. 그래서 임플란트 치료하고 앞니 치료를 제일 좋아하고 많이 하는 것 같습니다. 앞니 벌어짐 다이아스테마 라고 지칭하며 레진으로 치료한 케이스 여러 차례 소개 드렸던 것 같습니다. 앞으로도 수차례 소개 드리겠지요. 앞니 벌어짐 치료 방법은 여러 가지가 있습니다. 일단 오늘은 레진으로 앞니 벌어짐 해소한 케이스를 소개 드리고 이어서 앞니 벌어짐 치료 방법에 대해 다시금 말씀드리도록 하겠습니다. 앞니벌어짐 레진 치료 사례 60대 여성분이 치과에 내원하셨습니다. 최근 들어 크게 느끼는 것은 50대 이상 중년분들이 앞니 치료에 굉장히 관심이 많다는 것입니다. 가운데 앞니가 유독 벌어지셨네요. 공간을 매우면 인상이 훨씬 가지런하고 좋아지실 것 같습니다. 앞니 벌어짐 해소 방법에 대해 여러 가지 옵션을 말씀드렸고 레진으로 치료하시길 희망하셔서 진행해 드렸습니다. 이렇게 마무리해드렸습니다. 비교한 사진을 보니까 확실하죠? 가지런하고 깔끔한 인상을 가지게 되었습니다.^^ 앞니 벌어짐을 레진으로 이렇게 치료하는 것은 사실 쉬운 치료는 아닙니다. 그냥 하는 것은 누구나 할 수 있지만 잘 하는 것은 쉽지 않습니다. 여러 가지 지켜야 할 원칙들도 많고 스킬도 있어야 하고 손도 섬세해야 하기 때문이죠. 양원역 치과 바른플란트에 오시면 좋은 진료를 받으실 수 있습니다. 자, 그럼 앞니 벌어짐 치료에 대해 궁금하신 분들은 계속 글을 봐주시길 바랍니다. 앞니 벌어짐 치료 방법은 네가지가 있습니다. https://brplant.co.kr/2781/ 레진은 치아 삭제가 없고 당일 치료가 가능한 장점이 있지만 상대적으로 덜 단단하고 변색 가능성의 단점이 있습니다. 보철은 상대적으로 심미적일 수 있다는 장점이 있지만 (색상과 형태를 마음대로 만들 수 있으니까요) 자연치아를 깎아야 한다는 부담감 그리고 상대적으로 높은 비용을 단점으로 들 수가 있습니다. 교정치료는 자연치아를 살려간다는 장점이 있지만 기간이 가장 오래 걸린다는 것과 비용이 가장 많이 든다는 단점이 있습니다. 여기서 최근에 추가된 것은 무삭제 라미네이트 입니다. 치아를 손상시키지 않고 (깎지 않고) 외부에서 예쁘게 만든 치아를 붙여서 앞니 벌어짐을 해소할 수 있는 방법인데요 치아를 손상시키지 않는다는 장점과 심미적인 장점이 있지만 역시 레진에 비해서는 상대적으로 비용이 높다는 단점이 있겠네요. ※ 본 게시물에 사용된 모든 사진은 환자 본인의 동의를 얻어 촬영 및 게재되었습니다. 동일 환자에 대한 치료 전·후 사진이며, 동일한 진료 환경에서 촬영되었습니다. 치료 결과는 개인의 구강 상태, 전신 건강 상태, 생활 습관 등에 따라 달라질 수 있습니다. 모든 치료에는 출혈, 통증, 부종, 감염 등의 부작용이 발생할 수 있으므로 충분한 상담이 필요합니다. 치료시작 : 25년 10월 10일 치료완료 : 23년 10월 10일








